打开应用

胰腺恶性间质瘤一例

林医师   徐闻县人民医院
肿瘤

主诉 病史

患者男,61岁。因体检发现胰头肿物,于2002年9月29日入院。

查体 辅查

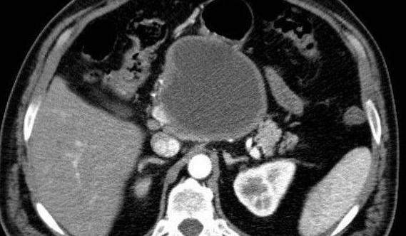
查体未见明显异常。 辅助检查:肿瘤标志物检测未见异常。C T诊断:5 cm x 6 cm x 7 cm 胰头肿物,注射泛影葡胺后,病灶呈不均匀增强。

诊断 处理

治疗:10月10日行剖腹探查,术中见肿瘤位于胰腺钩突部 , 约 4cm x 5cm x 6 cm 大小,质地稍韧,边界清楚,包膜部分完整,周围未见肿大淋巴结。术中细针穿刺活检,细胞学诊断:见梭形细胞,未见癌细胞。遂行保留胰头的肿瘤切除术,切开距肿瘤边缘约 lcm 的正 常胰腺组织,将肿瘤完整切,除 。 病理诊断:胰头间质瘤伴出血、坏死。核分裂l -2 个 / 1 0 H p 。 免疫组化:C D l l 7 ( + ) , C D 3 4 ( 一 ) , A eti n( 一 ) , S 一 l X() ( + ) , N S E ( 一 ) , A E I / A E 3 ( 一 ) 。

随访 讨论

随访:术后1年复查,CT发现肝转移瘤。剖腹探查见肝脏表面分布多个0.3-0.5cm 大小结节,切除活检。病理诊断:肝组织内见肿瘤性结节,瘤细胞呈梭形,有异型性。考虑恶性 间 质瘤肝转移.术后介人治疗2 次 , 口服格列卫2 个月,40 mg/d。随访至今,肝脏转移灶无明显变化,患者情况良好。 讨论:胰腺间质瘤无特异性临床症状。血管丰富和区域淋巴结转移少见,是该肿瘤区别于胰腺癌的两个影像学特点 。胰腺间质瘤首选手术治疗。 胰头间质瘤,可行胰十二指肠切除术。若肿瘤较小,边界清楚,或患者不能耐受胰十二指肠切除术,也可施行保留十二指肠 的胰头切 除或单纯肿瘤切除 。 胰体 、尾间质瘤可根据肿瘤大小和位置,行胰体尾 切 除和 胰尾切 除,或单纯的肿瘤切除,不 需要进 行区域淋 巴结清扫。 对单发的 肝转移灶 , 如 情况允许,可手术切除 ;对多发的肝转移灶,可选择介人治疗。 本例于术后 1 年发生肝转移 , 但介人治疗和格列卫治疗后,带瘤生存,情况良好。 而若胰腺癌发生肝转移,中位生存期仅6个月左右 摘自:中华肿瘤杂志 2006 年 6 月 第 2 8 卷第 6 期

发布于 15-09-25 23:51

4 个评论

发送