患者女,65岁,因“上腹痛10余天入院”。现病史:患者10余天前无明显诱因出现上腹痛,伴发热、呕心,无呕吐。前往湖北省中医院住院就诊,行CT及MRI检查示胰腺占位。给予对症支持治疗后症状未见明显缓解,建议转上级医院治疗,遂来我院。门诊以“胰腺肿物”收入院。 患者自发病以来,精神、饮食、睡眠差,大小便一般,体重无明显增减。既往史:慢性萎缩性胃炎10年余,高血压病4余年。否认肝炎、结核及其他传染病史。否认食物及药物过敏史。2001年行胰腺囊肿引流术。
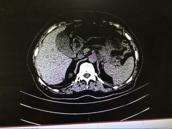
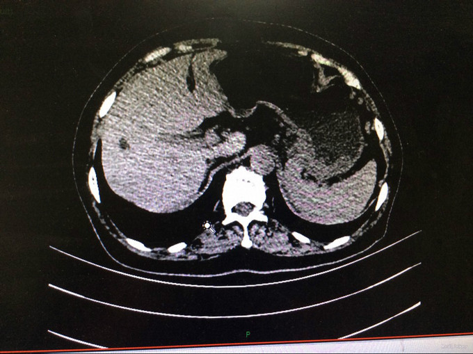
查体:生命体征平稳。神智清,查体合作,面容正常,淋巴结未触及肿大。双肺听诊呈清音,为闻及干湿罗音及哮鸣音;心率78次/分,律齐,无异常心音及心脏杂音;腹平软,肝脾肋下未及,未触及肿块,无压痛及反跳痛,肠鸣音正常。双下肢无水肿,生理反射存在,病理反射未引出。专科查体:无明显异常。辅助检查:湖北省中医院CT示:胰腺占位。CT检查示:1.结合原CT、MR检查,胰腺体尾部及周围异常改变,考虑胰腺炎伴坏死囊性变可能性大,与2015-11-20CT相比较,囊性病变略缩小;腹膜后淋巴结增多增大,大致同前;2. 所及肝脏多发囊肿;肝右叶后段其中一个病变边缘可疑强化,大小与前次相仿;3. 左侧肾上腺饱满。 MRI检查示: 胰腺体尾部及周围异常改变,考虑胰腺炎伴坏死囊性变可能性大,合并肿瘤性病变待排,病变累及腹膜伴腹膜后淋巴结增多增大,腹腔少许积液,请结合检查结果考虑;2. 所及肝脏多发囊肿;肝右叶后段其中一个病变边缘可疑强化,需鉴别于血管瘤与转移性病变,建议随访复查;3. 左侧肾上腺饱满;4. 所及右侧胸廓外小结节(层面16-7),直径约4mm,不除外右乳的病变:5. 所及腰椎骨性纵裂畸形。病理检查:(胰体尾部肿块穿刺组织)高分化腺癌,考虑为IPMN相关性浸润性癌。








诊断:胰腺恶性肿瘤 治疗:手术治疗。术中穿刺肿物送快速病理检查以判断肿物性质。
查该患者病史可知,该患者2001年行胰腺囊肿引流术,考虑患者此次胰腺占位性病变是否与此病史是否相关,胰腺囊肿与胰腺恶性肿瘤是否有关系?