下载或打开 医联APP 查看完整评论
立即下载
打开APP
患者男,65岁,退休人员,因体检发现双肺阴影 半月入院。无不适症状。不嗜烟酒,有高血压、糖尿病史。
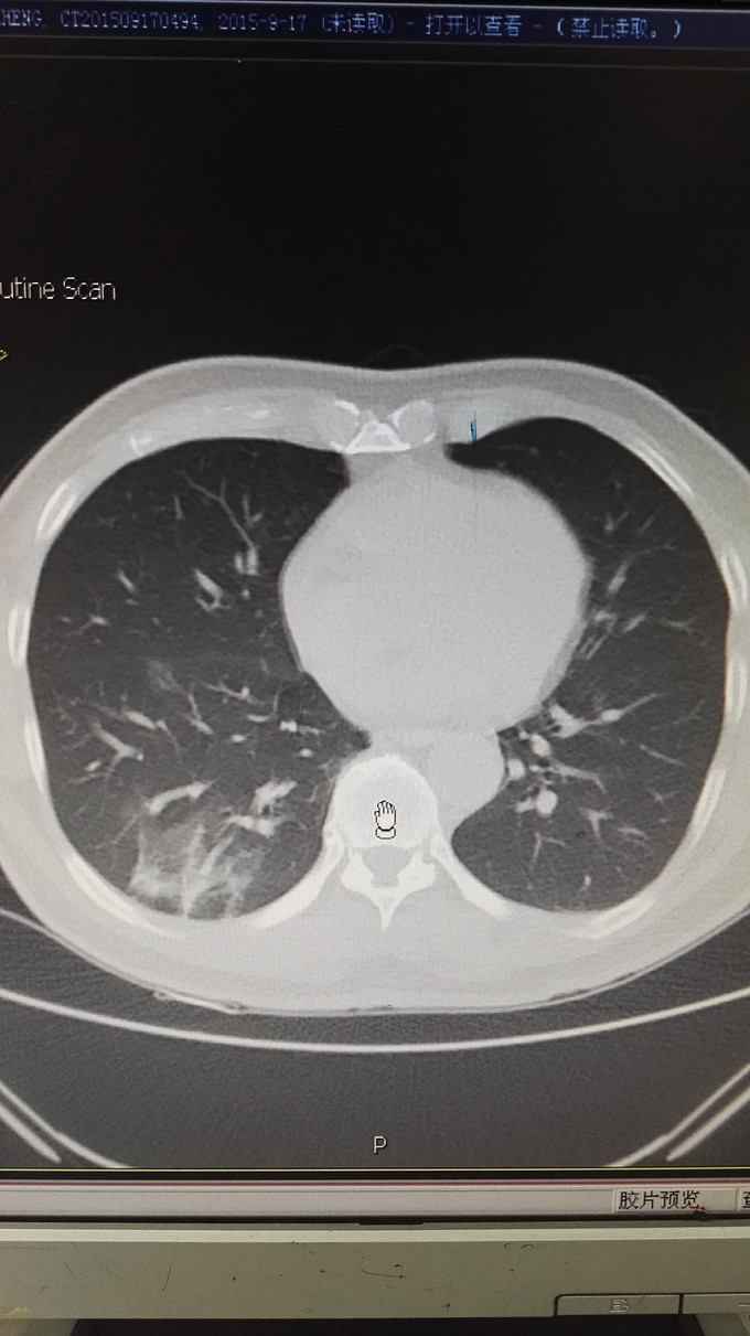
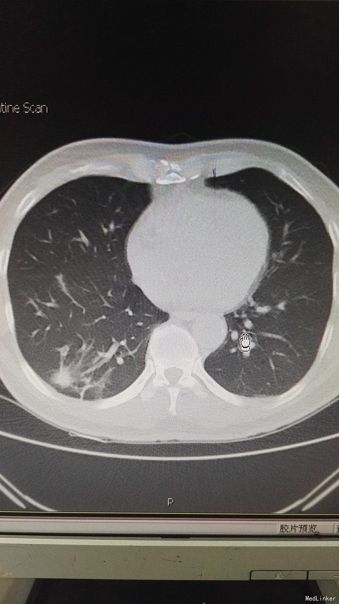
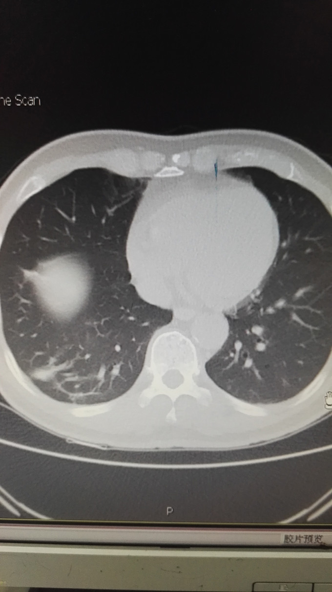
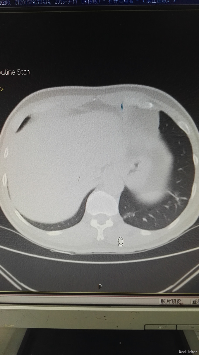
查体未见异常。 辅助检查:血常规、肿瘤指标、免疫指标、肝肾功能、痰涂片均未见异常。PCT、CRP不高。CT如图:右肺下叶多发斑片状影,左肺上叶蛇段、下叶少许条索状影,考虑双肺慢性炎症。




诊断:双肺阴影查因:肺炎? ; 高血压病 ;2型糖尿病 治疗,目前先进行抗感染及控制血压、血糖处理。
请各位同行给点意见,患者炎症治标不高,有没有症状,该考虑啥?