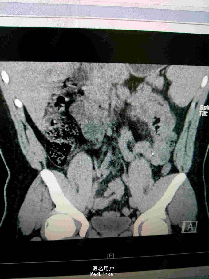
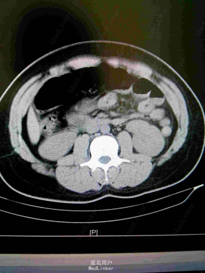
23岁男性患者,非洲加纳人,因"腹部疼痛半天"来院,现病史:患者半天前无明显诱因出现腹部疼痛,以下腹部持续性疼痛为主,阵发性加重,无发热,无呕吐,无腹胀腹泻,无尿频尿急尿痛等不适。患者有镰状细胞性贫血病史多年。





查体:神清,生命征平稳,急性痛苦面容,大汗淋淋,腹平,下腹部压痛明显,可疑反跳痛,无明显固定压痛点,上腹部轻度压痛,肝脾肋下未及,墨非氏征阴性,未及包块,双肾区无压痛扣击痛,输尿管行程无压痛,移动性 胞 浊音阴性,肠鸣音活跃。查血常规白细正常,中性正常,HGB95g/l,HCT26.7%,MC63.7fl,MCH22.7pg,MCHC356g/l,红细胞分布宽度差异23.7%,红细胞分布宽度标准53fl.淀粉酶正常。
镰状细胞性贫血并发肠绞痛。治疗:予补液,扩容,解痉止痛等对症处理。
镰状细胞贫血是1949年世界上最早发现的第一个分子病,其为常染色体显性遗传性疾病。临床症状包括溶血,贫血和血管闭塞症状,脾脏肿大见于童年,由于长期贫血,心脏常扩大,年长者可出现心肺功能不全,而且由于长期大量溶血,胆结石和胆囊炎亦为多见并发症,除了上述表现外,骨关节病变有:1.疼痛危象(painful crisis):是最特征性的肌肉骨骼并发症,最常见于长骨的近关节区,也可见于背部,肋骨,甚至腹部,疼痛常多部位发生,有时呈对称性,2.指(趾)炎(dactylitis) 3.骨坏死(osteonecrosis) .除异基因骨髓移植外,本病目前仍无特殊有效疗法,以对症治疗和支持治疗为主。由于脱水,疼痛危象的治疗首先需要大量补液,24h静脉输注3000~4000ml。轻度疼痛危象者给予一般的止痛药,严重病例给予麻醉性止痛药。严重的疼痛危象特别是合并胸部综合征者需紧急换血。对疑有股骨头坏死者应绝对卧床休息,避免负重。输血能改善血液和组织缺氧,稀释患者红细胞,减少镰变倾向和暂时抑制含HbS红细胞的产生,脱氧镰变红细胞的黏滞度在输入同样正常红细胞后显著下降。镰状细胞贫血患者易继发感染。镰状细胞贫血是一种严重疾病,若无良好的医疗条件,患者多于幼年死亡。如有较好的医疗条件,患者可能生存至成年。妊娠使心力衰竭、梗死、贫血加重,并易发生流产和死胎。感染、心力衰竭、梗死危象引起的休克、中枢神经系统并发症可成为死因。