58岁男性患者,主因左侧肢体不自主运动1周入院,患者既往有2型糖尿病5年,血糖控制不理想,入院随机血糖为23.3mmol/L。

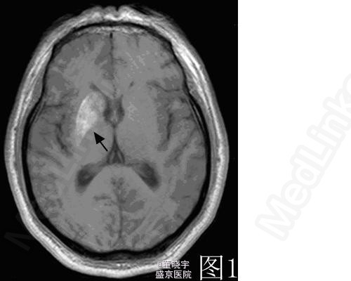
神经科查体:神志清楚,言语流利,双侧瞳孔等大,光反射灵敏,面纹对称,伸舌居中,四肢肌力5级,左侧肢体不自主运动,左侧肢体肌张力减低,深浅感觉及共济检查未见异常,双侧巴氏征-。 颅脑MRI检查:右侧基底节区T1WI高信号(图1)
诊断考虑:非酮症性高血糖合并舞蹈症 治疗上应用胰岛素控制血糖同时先后应用地西泮片、氯硝西泮等治疗效果均不明显,最后应用氟哌啶醇1mg日二次口服治疗,3日后患者症状好转后出院
出院3个月随访,患者临床症状的消失,未在出现舞蹈症。 讨论:舞蹈病、非酮症高血糖和颅脑MRI基底节区T1加权高信号的组合一直被认为是一个独特的综合征。但是,本病确切的发病机制目前仍不清楚。该病多见于血糖控制不良的老年糖尿病患者,可表现为单侧或双侧肢体的舞蹈样动作及面部的不自主运动。其发病率尚未见报道,研究发现本病多发生在亚洲,这表明遗传因素或不发达的国家糖尿病控制不佳可能与本病有关。另外,本病以女性多见,有研究中提出女性对多巴胺变化的反应更加敏感可能与此有关。 舞蹈症的基本病理生理学机制为壳核中的(γ-amino butyric acid GABA)能神经元受损,壳核的GABA减少导致运动障碍。基底神经节运动环路控制人体的正常运动,如直接通路和间接通路的平衡被打破,即会出现不同的运动障碍,舞蹈症的产生正是由于间接通路过度抑制所引起。在高血糖情况下,脑内由于三羧酸循环失活而转入无氧代谢,通过无氧代谢为脑组织提供能量。由于基底节区供能减少,基底节区代谢性酸中毒和GABA及乙酰胆碱的减少可能会导致基底神经节功能障碍并出现舞蹈病。另外,高血糖可导致外周血红细胞代谢紊乱形成棘红细胞和纹状体的抗原交叉反应,参与舞蹈病的病理过程。 非酮症高血糖合并舞蹈病的颅脑MRI表现为基底节区T1加权高信号,然而这种影像学表现并非该病所特有,一些疾病包括慢性肝脑变性、心肺复苏后脑病、低血糖脑病及轻度局灶性缺血等均可有类似影像学表现。既往有学者提出非酮症高血糖合并舞蹈病的T1加权高信号可能是由于基底节区缺血缺氧后钙化引起的,然而后期随访的MRI经常出现基底节区高信号消失的情况。Lee等认为可能是点状的出血而不是钙化引起的T1加权高信号。然而多项研究认为,本病病灶内出血的可能性不大,因为影像观察病灶边界清晰、无水肿及占位效应,而且脑出血后血红蛋白于T2加权为高信号;但非酮症高血糖合并舞蹈病患者病灶于T2加权时可表现为高信号、等信号、低信号。目前认为病灶T1加权高信号的原因可能为饲肥星形细胞浸润和脱髓鞘病变,饲肥星形细胞为星形细胞激活后吞噬周围组织细胞形成,见于多种神经系统疾病,为慢性病理学改变。另外,MR波谱分析研究发现,病灶内乳酸、醋酸峰增高,N-乙酰天冬氨酸(NAA) 、肌酸峰降低,NAA/肌酸比值降低,说明病灶内神经元代谢障碍,功能受损,胆碱/肌酸比值升高则为胶质细胞增生的表现,脂类峰增高,系由磷脂酰肌醇分解生成花生四烯酸和游离脂肪酸所致,提示脱髓鞘病变。 非酮症高血糖合并舞蹈症是一种多发于老年人的良性疾病,女性患者更容易发病,尽管其病理生理及MRI基底节T1加权高信号确切机制尚不完全明了, 但非酮症高血糖、偏侧舞蹈症、MRI显示的基底节T2加权高信号可构成一种临床综合征, 经过控制高血糖和(或)应用神经安定剂, 预后良好;T1加权高信号部分病变具有可逆性,并与临床舞蹈症缓解相关。