下载或打开 医联APP 查看完整评论
立即下载
打开APP
患者,男,61岁,因"左侧肢体不自主运动2天"收入院。患者2天前无明显诱因出现左上肢不自主运动,6小时后累及下肢。既往没有脑梗死及脑外伤。
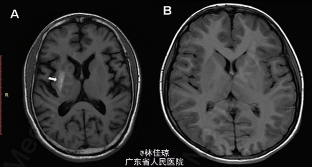
神清,颅神经检查正常,左侧肢体的舞蹈样动作及不自主运动无法自行控制,但在睡眠中停止。 随机血糖:527mg/l,酮体(-)(0.5mmol/l/),HbA1c 10.3%,静脉pH值7.37。 头颅 MRI:T1 加权成像提示右侧壳核高信号(图 A),T2加权加权成像显示未见显著信号异常。

诊断:糖尿病非酮症性高渗状态所致偏侧舞蹈症。 给予每日2次预混胰岛素制剂,1周后,血糖控制正常。患者的不自主运动减少,在10天后第一次复诊患者症状完全消失。接下来的随访中,2个月后, MRI 仍然显示异常,6个月后,MRI 显示高信号病灶消失(图 B), 未显示异常。
偏侧舞蹈症,多是累及基底节区,尤其纹状体(尾状核,壳核,苍白球)是造成偏侧舞蹈症的关键原因.。脑梗塞是常见病因,由非酮症性高血糖为病因引起偏侧舞蹈症在临床上十分罕见。临床上诊断主要依靠典型的不自主运动,非酮症型血糖升高以及影像学表现。该类患者的治疗需控制血糖,对于难治性病例,可考虑加用丁酰苯类抗精神病药、儿茶酚胺和5-羟色胺神经递质的耗竭剂等针对舞蹈症的药物疗。神经内科医师碰到舞蹈症患者,需注意这一个疾病。