下载或打开 医联APP 查看完整评论
立即下载
打开APP
19岁女性,孕31周因剧烈腹痛就诊
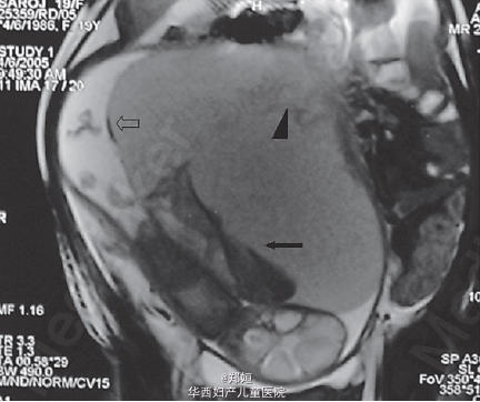
体检发现腹肌紧张,宫高高于胎龄,可触及边界不清的肿块 临床怀疑为子宫肌瘤红色样变,胎盘肿块,胎盘早期剥离 超声提示胎盘显著增大 彩色多普勒提示胎盘肿块有血流信号 由于缺乏确切的临床和超声证据,采用MRI诊断 T1相可见肿块是异质的,而其余胎盘正常 肿块呈中间信号



MRI诊断为巨大的绒毛膜下血肿 由于患者血流动力学稳定,所以继续严密观察 孕32周行剖宫产 术中可见胎盘的巨大绒毛膜下血肿25*20cm
患者术后恢复良好