患者,男,34岁。以呼吸困难咳嗽咳痰伴上腹痛1周为主诉于2006年9月25日入院。发病时深呼吸咳嗽后胸口隐痛,痰中带血。血生化检查示:C反应蛋白22.4 mg/L(正常值0—8 mg/L)。心肌酶谱:谷草转氨酶46 U/L,乳酸脱氢酶2085 U/L,磷酸肌酸激酶57 U/L,肌酸激酶同工酶52 U/L,羟定酸脱氢酶192 U/L。凝血检查示:凝血酶原国际标准化比值1.01,凝血酶原正常对照12.90,凝血酶原时间13.0。外院完善寄生虫病原学检查示:痰虫卵(一),血清囊虫抗体弱(+),肺吸虫抗体(一),血吸虫抗体(一)。肿瘤四项检查示:AFP:328.1μg/L,CAl25:1.8μg/L,CAl99(一)。影像学检查示:B超“双乳头下3 cm×3 cm实性肿块,双腋下淋巴结肿大,颈部、手臂内侧、颅侧额叶左侧枕叶多发占位,肺部多发类圆形占位,肝脏脾脏多发占位,考虑为肝癌,颅内及肺内转移,不排除寄生虫病可能”,2006年10月1日行手臂肿块活检。
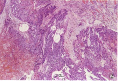
眼观:手臂肿块切除标本1个,大小4 cm×4cm×3 cm,其内见暗红色肿物,切面肿物界清,中央见大片暗红色出血、坏死区,周边少许灰红色区,质软。镜检:肿瘤组织内见大片出血、坏死,间质稀少;瘤细胞呈多边形,境界清楚,细胞质淡染或透亮,核圆形位于中央,核仁明显,此类细 胞成片排列,其间夹杂一团团的合体型细胞,胞质丰富、深染、嗜酸,细胞核多个、增大深染或皱缩(图2)。提示异型肿瘤细胞,巢团状浸润性生长,间质大片出血坏死,初步诊断为生殖源性恶性肿瘤,复查血HCG大于200 000 mlU/ml,尿HCG强(+),免疫组化结果显示:CK(+),HCG(+),HPL (+),AFP(一)。经病理提示绒癌可能后,再次体检发现患者一侧睾丸肿大,有男性乳腺发育特征。



病理诊断:男性绒毛膜癌,并发肝、肺、脑、手臂转移。本例并发肝、肺、脑、手臂多处转移灶,已经出现胸、腹部症状,经化疗无效,最后出现呼吸衰竭自动出院。
绒毛膜癌为一种高度恶性的肿瘤,常继发于葡萄胎、流产或足月分娩以后,其发生比率约为2:1:1,故患者多为生育年龄妇女,少数也发生于绝经后妇女或男性。发生于绝经后是因为滋养细胞可在隐匿(处于不增殖状态)多年后开始活跃生长,其原因不明。绒癌多数发生在子宫,但也有未发现子宫内原发灶而只出现转移灶者。绒癌主要经血行播散发生远处转移,转移早而广泛,最常见转移部位是肺(80%),其他依次为阴道(30%)、脑(10%)、肝(10%)