下载或打开 医联APP 查看完整评论
立即下载
打开APP
患者为73岁男性,排便习惯改变伴便血6个月。患者无腹痛、腹泻及黑便。既往体健,也无家族疾病史。2009年患者因前列腺肥大行经尿道前列腺切除,术后病理提示前列腺癌。

患者术后随访20个月。胸膝卧位检查,可触及距肛门约2.5cm一菜花样新生物。盆腔MRI可见直肠壁增厚,在前列腺与输尿管底部之间可见一肿块。盆腔CT未见淋巴结受累,腹部胸部CT也正常。初步诊断为直肠癌。

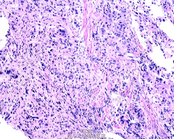
遂行直肠镜活检,提示低分化腺癌。免疫组化提示PSA(+), CK20(-), CDX2(-), Villin(+) ,P504S(+)。通过既往史以及目前的资料分析,患者直肠腺癌可能与前列腺癌有关。遂建议患者行新辅助化疗,以便进一步手术治疗。


前列腺最常见转移至骨,肺和肝脏。此病例为前列腺癌转移至直肠,非常少见,且目前其转移途径尚不完全清楚,主要包括直接侵犯和远处转移。前列腺癌转移至邻近器官非常罕见。Oncol Lett. 2015 Jun; doi: 10.3892/ol.2015.3100