患者,男性,73岁。因“排便次数增多伴便血半年”收住院。
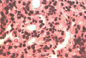
查体:距肛门5 cm直肠后壁扪及质硬溃疡型肿块,占肠l/2周,活动度差。实验室检查:癌胚抗原(CEA):8.7ug∥L,前列腺特异性抗原(PSA):57ug∥L。肝胆胰脾B超检查及胸部x线检查均无异常。全身骨骼核素扫描(EcT)未发现异常转移灶。盆腔MRJ检查示直肠肿块,侵及浆膜;前列腺1r2像右叶外周带孤立性低信号结节。人院后肠镜检查直肠肿块活检为直肠腺癌,经肛前列腺穿刺活检为前列腺腺癌gleason评分7分,免疫组化PSA及雄激素受体(AR)均为阳性。
再次行“直肠癌根治术(APR)及去势术”,术中探查未见腹腔转移灶及肿大淋巴结,直肠肿块位于腹膜返折以下,直肠前壁与前列腺包膜间隙可清晰分离。术后见直肠溃疡型肿块,5 cm×4 cm,切面灰白,质硬,病理为中低分化腺癌,淋巴结转移(3/12)。术后诊断:直肠腺癌(Ⅲ期),前列腺癌。术后3周始直肠癌予以FOLF0x4方案化疗(共6个月12个疗程),现已随访半年未见复发。


多原发癌的发生率占全部恶性肿瘤的0.4%一10.O%。有文献报道结直肠癌术后再发癌可高达18.7%。第二癌与第一癌同时或相隔6个月以内诊断者为同时性癌;在第一癌发现后超过6个月诊断者为异时性癌。且符合以下特点:(1)各肿瘤均为恶性;(2)各肿瘤独立存在;(3)排除互为转移的可能。目前临床诊断直肠癌并不困难,但对直肠癌伴发前列腺癌尤其偶发性前列腺癌,或直肠癌浸润至前列腺的诊断较为困难。依据临床症状、PsA测定、前列腺直肠指诊、经直肠前列腺超声及CT或MIu等检查,诊断前列腺癌均有一定局限性。前列腺穿刺活检仍然是其诊断的金标准。本例患者直肠肿块病理检查为腺癌,而前列腺穿刺活检虽为腺癌,但免疫组化PSA及AR均为阳性,故排除两种肿瘤互为转移的可能性,可明确本例为一同时性多原发癌。因此临床医生在询问病史、查体后作诊断时,应警惕同时性第二原发癌的存在可能。如对其认识不足易漏诊,导致二次手术。多原发癌的治疗首选手术,结合癌灶的部位及范围,制定治疗方案。术后联合放化疗及免疫治疗等。本例患者术后直肠癌分期为Ⅲ期,故对其行辅助性足量化疗,现随访一年,未见复发。