下载或打开 医联APP 查看完整评论
立即下载
打开APP
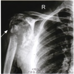
男,43岁,以右肩病变入院。10年前依据症状及颈部MRJ诊断为C1~C6水平脊髓空洞症,后根据病史、X线及穿刺活检在外院诊断为Charcot关节病(Charcot’s anhrosis,CA)。
体格检查:右肩关节肿胀、活动无受限,无红肿,皮温不高,压痛不明显,触及大小约12 cm×10 cm×10 cm囊性肿块,质软,有波动感。右上肢肌力正常,右肩关节及右侧胸部触觉及痛觉降低,上肢肌肉和大鱼际肌较对侧萎缩。



诊断:脊髓空洞症合、Charcot关节病 处理:减少活动和支架保护是多用的有效方法。
CA又称神经性关节病、神经营养性关节病等,是由感觉神经系统病变所引起的关节病变的统称。CA可见于脊髓空洞症、脊髓痨、脊膜膨出、多发性神经炎、截瘫、糖尿病等患者。 Doi:10.3969/j.issn.1005—5185.2014.07.005