下载或打开 医联APP 查看完整评论
立即下载
打开APP
患者女,76岁,因“双下肢瘀斑瘀点3年余,头晕、乏力4个月伴发热1 d”收治人院。患者3年前无明显诱因下出现双下肢散在瘀斑和瘀点,4个月前出现头晕、乏力、活动后气促,入院前1 d发热,既往有高血压、糖尿病病史,长期规律性用药,血糖、血压控制尚可。
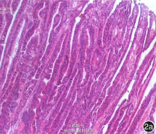
人院体检:贫血貌。血常规:白细胞1.45~3.13 g/L,红细胞1.44~2.55/L,血红蛋白61~89 g/L,血小板48~85 g/L。给予抗感染、输血治疗,患者头晕、乏力症状好转,无发热,但仍存在血三系减少,PET/CT检查:全身骨髓代谢弥漫性轻度增高,十二指肠降段块状高代谢病灶,考虑十二指肠恶性肿瘤,病灶处肠腔狭窄。进一步行胃镜检查,胃镜下见胃窦大弯侧一巨大息肉,大小约4.0 cm×5.0 cm,表面有糜烂及少量渗血,基底见一粗大蒂(图1),息肉通过幽门向十二指肠腔内突出,充气后可回纳至胃窦。活检病理:胃窦绒毛状腺瘤,中度至重度异型增生(高级别上皮内瘤变)。

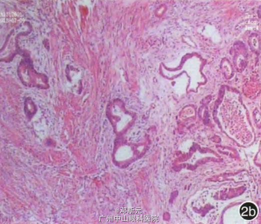
患者拒绝胃镜下切除治疗,改行全麻下腹腔镜远端胃大部切除术并胃空肠吻合术(毕Ⅱ式吻合)。手术病 理:胃管状.绒毛状腺瘤癌变(高分化腺癌),浸润浅肌层(图2);切缘未见癌组织,淋巴结未见癌转移。


胃腺瘤通常是良性肿瘤,诊断主要依靠x线钡餐检查和胃镜检查。本例因胃窦腺瘤蒂长可突入十二指肠,导致PET—CT和胃镜检查表现差异较大,提示临床医师需完善检查以确定诊断,切不可盲目手术。 doi:10.3760/cma.j.issn.1007-5232.2014.05.021