患者,女, 50岁,因发现”左乳房肿物半年”入院。既往史无特殊。
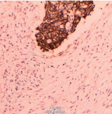
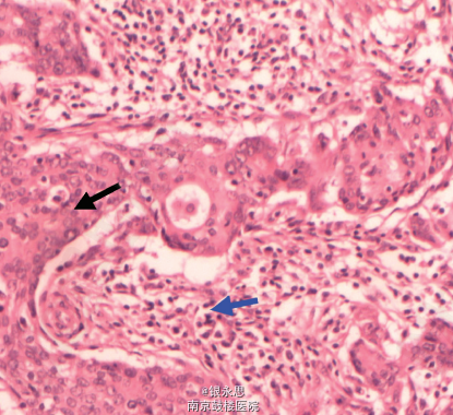
左侧乳腺 3 点位可触及一 2. 50 cm×2. 00 cm 大小的肿物,边界欠清,形态欠规则,活动度欠佳;右侧乳腺未触及肿物;双侧腋下及锁骨上未触及明显肿大淋巴结。 乳腺彩色超声:左侧乳腺 3 点位可见大小为 2. 11 cm× 1. 02 cm 的低回声团块, 边 界 欠 清, 形 态 欠 规 则, 其 内 可 探 及 血 流 信 号,。 乳腺 X 线:左侧乳腺外上象限可见一高密度肿物影, 大小约 2. 50 cm × 1. 50 cm, 边界欠清,形态尚规则,未见明显毛刺征及钙化点, 双侧腋下未见明显异常淋巴结。 活检病理报告:左侧乳腺恶性肿瘤,考虑为交界性或恶性叶状肿瘤,伴导管上皮癌变( 癌肉瘤) , 或者梭形细胞癌( 化生性癌) 。


在全身麻醉下行左乳腺单纯切除术+前哨淋巴结活检术,术中快速病理证实前哨淋巴结出现转移,遂改行左侧乳腺癌改良根治术。 术后病理报告:左侧乳腺交界性叶状肿瘤,伴上皮癌变。免疫组织化学: ER ( -) 、PR( -) , HER- 2( -) ,Ki67( +30% ) ,CK5 / 6( +) ,波形蛋白( Vimentin) ( +) ,CK ( +)。 术后给予 6 疗程 TAC( 多西他赛+吡柔比星+环磷酰胺) 方案化疗、1 疗程放射治疗。
随访:患者术后随访17 个月仍无瘤生存。 讨论:叶状肿瘤是一种少见的乳腺纤维上皮来源肿瘤,根据肿瘤的间质细胞密度、细胞异质性、核分裂及肿瘤边缘情况分为良性、交界性和恶性 3 种级别,只有 1% ~ 2% 的叶状肿瘤会伴有上皮癌变,无论是原位癌或是浸润癌都很罕见。叶状肿瘤伴癌变的术后治疗主要是依据癌变成分、免疫组织化学结果和腋窝淋巴结状态来进行选择。 该患者为三阴性乳腺癌,术后给予了化疗,并根据本院乳腺癌治疗协作组中放射治疗医师的建议,对于三阴性乳腺癌伴有 1 ~ 3 枚淋巴结转移的病例也给予了放射治疗,总剂量为 5000 cGy,分为 25 次,在 5 周内完成,照射野为患侧胸壁及锁骨上下区。