下载或打开 医联APP 查看完整评论
立即下载
打开APP
患者,男,56岁,因“体检发现胰尾部占位2周”入院
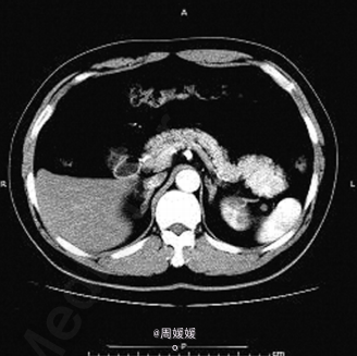
查体未见明显异常. 实验室检查:实验室检查 :肿瘤标志物甲胎蛋白 6.57ng/mL ,癌胚抗原3.64ng/mL ,糖类抗原1259U/mL ,糖链抗原19-9 12.30U/mL ,鳞状细胞癌相关抗原0.8ng/mL 。 B超提示:胰尾部可见一大小3.5cm*2.8cm 低回声区 ,边界尚清 ,内部回声不均。胰管不扩张。 增强CT提示:胰腺尾部可见一肿块影 ,大小约4.4cm*3.4cm*2.4 cm,动脉期、静脉期明显强化

诊断:胰腺尾部肿物 处理:腹腔镜下行镜下胰体尾切除术。
术后病理:送检组织镜下见为基本正常的胰腺组织 ,部分包裹脾脏组织 ,脾小体结构清楚 。符合(胰体尾)副脾。 本例分析误诊原因主要 :1.副脾发生在胰腺尾部,与胰腺关系紧密,CT 横断面不分辨其来源,造成误诊;2.胰腺异位副脾,临床非常少见,部分影像科医师主观上对副脾的认识不足,尤其不清楚副脾 CT 影像学特点,看见胰腺尾部富血供肿瘤,首先考虑胰腺神经内分泌肿瘤、囊腺瘤(癌),实性假乳头状瘤,而造成临床误诊。