下载或打开 医联APP 查看完整评论
立即下载
打开APP
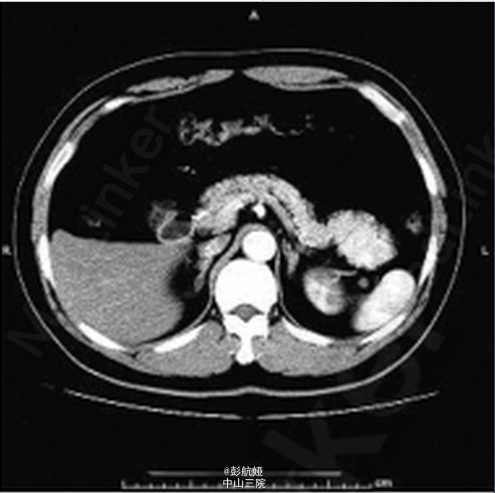
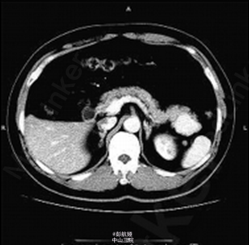
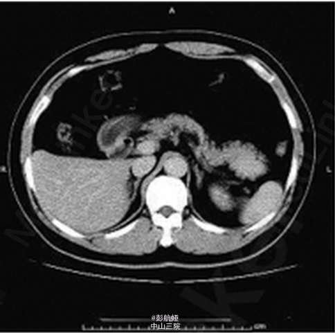
患者 ,男 ,56岁 ,因“体检发现胰尾部占位 2周”入院 ,入院后无明显阳性体征 。 实验室检查 :肿瘤标志物甲胎蛋白6.57ng/mL ,癌胚抗原 3.64ng/mL ,糖类抗原1259.90U/mL ,糖 链抗原 19-912.30 U/mL ,鳞状细胞癌相关抗原0.8ng/mL 。B超检查 :胰腺切面形态失常 ,胰尾部可见一大小3.5 cm × 2.8cm 低回声区 ,边界尚清 ,内部回声不均。胰管不扩张。 彩色多 普勒(CDFI) :门静脉血流充盈 ,上述胰尾部低回声区内未见明显血流信号 ,余部位未见异常血流信号 。 B 超诊断 :胰尾部实质性病灶 。 CT 增强检查 :胰腺尾部可见一肿块影 ,大小约 4.4cm × 3.4 cm × 2.4 cm ,动脉期 、静脉期明显强化(图1、2) ,延迟期强化程度减低 ,且均匀强化(图 3) ,胰尾向前推移 ,肿块位于脾动静脉前下方 ,胰管未见扩张 。脾脏不大 ,密度均匀。 CT 诊断 :胰尾后方肿块、强化 ,多考虑肿瘤性病变 。手术及病理 :行全腹腔镜下胰体尾切除术 。切开胃结肠韧带 ,显露胰腺 ,可见胰腺体尾部约 5 cm × 3 cm 肿块 ,凸向胰体尾背侧生长 ,脾血管未受侵犯。 行胰体尾切除。病理 :送检组织镜下见为基本正常的胰腺组织 ,部分包裹脾脏组织 ,脾小体结构清楚 。符合(胰体尾)副脾 。


