下载或打开 医联APP 查看完整评论
立即下载
打开APP
主诉:右侧胸痛、咳嗽伴间歇性发热 2 周。 病史:14岁男童,2周前无明显诱因出现右侧胸部疼痛,咳嗽,少量咳痰,为黄色粘液痰。伴有间歇性发热,最高可达38.1℃。于门诊查胸部X线未见明显异常,就诊后嘱托患者若症状无缓解则需再次返院就诊。1 周后患者再次就诊,呼吸费力、胸痛、体温最高达 38.5℃。患者精神状态较差,睡眠差,胃纳差,体重无明显变化。
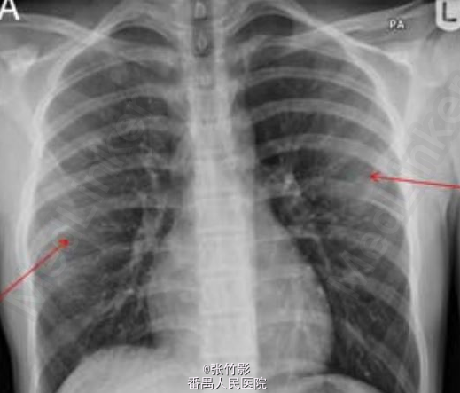
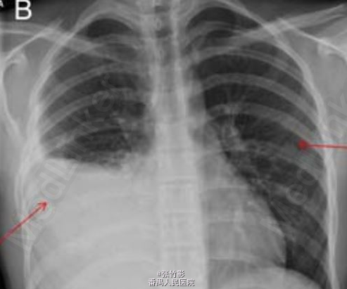
查体:右侧胸部叩诊浊音,呼吸音减弱;未问及明显干湿性啰音。 辅查:首次就诊血液学检查白细胞计数正常,C 反应蛋白升高(303 mg/L);两次胸部X线如下。


诊断:骨性肋外生骨疣引起血胸。 处理:患儿呼吸急促,需要吸氧 1-2L/min,同时对患者静脉用克拉维酸和克拉霉素。在超声介导下行右半胸腔穿刺引流,引流出 750 ml 深黑色的血性液体,而非脓液。
讨论:该病例旨在提醒医者们即使已经在胸片上发现明显的异常改变,仍应仔细查看胸片,在患儿初次就诊时就医者就忽略了外生骨疣这一改变。血胸常由胸部创伤引起,儿童少见。血胸也可因炎症发展如脓肿和结核侵袭血管所致。血胸偶可为胸部肿瘤、肋外生骨疣和出血体质的临床表现。自发性血胸可见于新生儿和年龄较大的儿童,但此种情况极为罕见(转自 Thorax 杂志)。