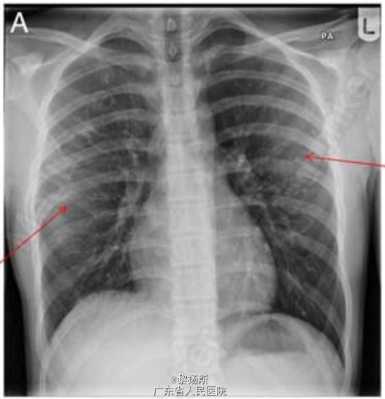
14 岁男孩,因右侧胸痛、咳嗽伴间歇性发热 2 周到我院儿科急诊就诊。胸片所见如(图 1A),就诊后嘱托患者若症状无缓解则需再次返院就诊。1 周后患者再次就诊,呼吸费力、胸痛、体温最高达 38.5℃。

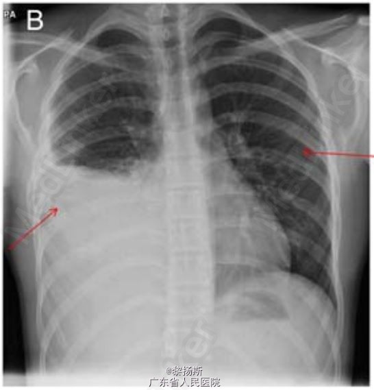
体查检查发现右侧胸部叩诊浊音,呼吸音减弱。复查胸片结果见图 1B。 首次就诊血液学检查白细胞计数正常,C 反应蛋白升高(303 mg/L)。患儿呼吸急促,需要吸氧 1-2L/min,同时对患者静脉用克拉维酸和克拉霉素。胸部超声证实存在大量胸腔积液,疑诊脓胸,遂转入我科进一步治疗。
诊断:骨性类外生骨疣相关性血胸;在超声介导下行右半胸腔穿刺引流,引流出 750 ml 深黑色的血性液体,而非脓液。除了收集右侧胸部的胸腔积液外,患者右侧第 4 肋前部末端可见一肋外生骨疣。同时第 5 肋连接处可见一结构畸形。另一个外生骨疣可见于左侧第 7 肋后部末端(图 2B)。患者曾多次手术切除位于膝部、肩部和前臂的良性骨性外生骨疣。右侧桡骨可触及一个质地不柔软的 3×2 cm 的骨性肿块。患者一直在整形外科随访,无骨痛或关节疼痛,本次发病前患儿无任何不适。无骨科疾病家族史。该患者接受抗生素治疗疗效较好,同时采用可视胸腔镜为患儿吸除血块和行胸腔冲洗。胸腔积液培养阴性。随后患者康复出院。


该病例旨在提醒医者们即使已经在胸片上发现明显的异常改变,仍应仔细查看胸片,在患儿初次就诊时就医者就忽略了外生骨疣这一改变。先天性多发性外生骨疣(HME)以及实性肋外生骨疣为肋外生骨疣的两种不同类型。HME 为常染色体显性遗传病,外生骨疣常见于四肢的长骨(图 3)。HME 患者的生长可能会受到限制,使得四肢长度不成比例,身材矮小。实性类外生骨疣患者则表现相反,外生骨疣常不对称性生长,无家族史。引自Thorax doi:10.1136/thoraxjnl-2015-207061
