下载或打开 医联APP 查看完整评论
立即下载
打开APP
患者,男,23岁,因“右足第2趾末端肿块伴疼痛3年”入院。患者 3 年前无明显诱因右足第二趾甲下皮肤出现一硬性结节,挤压时疼痛明显,并逐渐增大。既往史、家族史无特殊。
查体:皮肤科情况 :右足第2趾甲下可见一1cm× 0.8cm×1cm大小结节,表面角化明显,有触痛。辅助检查:血尿便常规、肝肾功能、电解质均未见明显异常。残留趾甲真菌镜检及培养阴性。足部 X 线检查 :右侧第2远节趾骨末端见骨性密度新生物影.


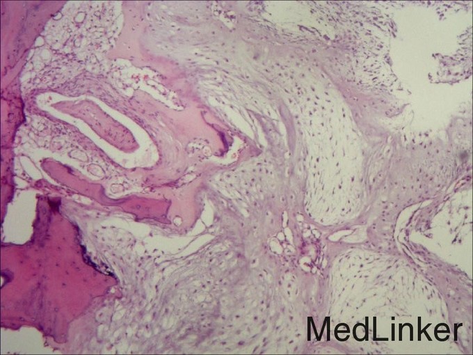
诊断:甲下外生性骨疣。 治疗:手术切除甲下外生骨疣,术后伤口愈合良好。术后组织病理示:真皮内成熟骨组织,间质中纤维组织增生。
随访:随访无复发。 讨论:甲下外生性骨疣是好发于拇趾末端甲下的单发性良性骨肿瘤,其他指趾甲也可受累,发病年龄在 11 ~ 30 岁,生长缓慢。组织病理学上成熟的外生骨疣可见钙化障碍的骨小梁,其远端由纤维软骨覆盖,而非透明软骨。该病为慢性、良性过程,预后良好。治疗可以手术切除全部骨疣增生组织以防止复发