下载或打开 医联APP 查看完整评论
立即下载
打开APP
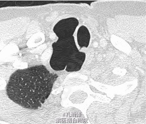
病史:患儿女,1d,因“气促、喉鸣1d”入新生儿重症监护室。患儿足月剖宫产分娩,Apgar评分:1min6分,5min9分,羊水正常,出生体质量4000g。生后口周紫绀、气促、喉鸣。
查体:足月新生儿貌,反应稍差,躯干、四肢可见散在针尖大小出血点,三凹征(+),双肺呼吸音粗糙,对称,可闻及吸气相喘鸣音及粗湿啰音。 实验室检查:血气分析:pH7.319,氧分压(P02)90mm.Hg,二氧化碳分压46.5mmHg,BE-2mmo]/L。血常规:白细胞(WBC)20.57×109/L,N 83.80%。尿钙试验(+)。Pr系列:血浆凝血酶原时间15.2s,活化部分凝血活酶时间53.08,血浆凝血酶时间测定20.7s。


诊断:(1)气管憩室;(2)新生儿肺炎;(3)巨大儿。 处理:予心电监护,维持水、电解质、酸碱平衡,供给足够的热卡,抗感染、制酸止血、营养心肌等治疗。住院2d病情控制出院。嘱定期复诊。
讨论:对于气管憩室小、炎症轻的小婴儿,可先行抗感染等保守治疗。气管憩室较大且反复继发肺部感染导致呼吸困难者,应考虑手术切除治疗。本例患儿有无手术指征各位怎么看?10.3760/cma.j.issn.0578-1310.2010.05.022