患者女性,50岁,因“发现肉眼血尿3天余”入院。 现病史:患者于3天前出现肉眼血尿,无尿频、尿急、尿痛,无腹痛、腰痛,无畏寒、发热,遂就诊于潮州市中心医院,予双肾CT检查提示:双肾占位性病变,未给予处理。 既往史:有高血压病史3年,24年前曾于潮州市中心医院行脑血管瘤手术,23年前于潮州市中心医院行脊柱手术(具体术式不详)。 家族史:患者妹妹曾于1年前于潮州市中心医院行脑血管瘤手术,患者儿子近期行脊柱MR提示:颈7-胸7椎体水平异常信号灶,考虑低级别星状细胞瘤。
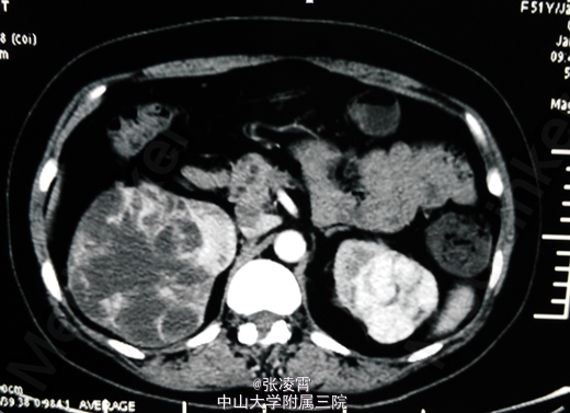
血常规 :血红蛋白浓度96g/L; 尿常规:白细胞计数 77.1个/ul; 腹部及盆腔平扫+增强:1.双肾多发占位,2.肝、胆囊、脾脏未见明显异常,3.盆腔未见明显异常。

1、双侧多发肾占位病变(肾癌?) 2、高血压II级 (中危组) 拟予口服索坦50mg qd口服一周后予行肾癌根治术。在口服索坦期间予行胸部CT发现有转移瘤。遂予取消手术。与患者及家属交代病情后,患者及家属考虑待其出院后商议后再考虑是否继续就诊。
双侧多发性肾癌发病率低,其发生率约占全部肾癌的3‰-1.6%。患者多没有明显的临床症状,为查体或其他疾病就诊时偶然发现。影像学检查大多呈现肾细胞癌典型特征,容易做出诊断。双侧肾癌患者治疗后的生存率与单侧肾细胞癌患者无差异,文献报道大多以切除肿瘤、最大限度保留肾功能为原则。NSS被作为本病的主流治疗方法。 该患者家族中有视网膜血管瘤或中枢神经系统血管瘤遗传病史者,且双肾占位性病变,可诊断为VHL。 VHL诊断标准:对于家族中有视网膜血管瘤或中枢神经系统血管瘤遗传病史者,只要存在视网膜血管瘤、中枢神经系统成血管瘤或实质性脏器损害(肾癌、胰腺多发性囊肿或肿瘤、嗜铬细胞瘤、附睾乳头状囊腺瘤)中的任何一个,即可诊断。 对于无家族史的散发性患者必须具备两个以上(含两个)血管瘤或一个血管瘤和一个实质性脏器肿瘤才可诊断。 VHL治疗原则:一种认为VHL 病中肾癌常表现为双侧多中心性,保留肾单位手术后易发生肿瘤残留、局部复发转移,主张行肾癌根治性切除术;对于双侧性肾癌应行双侧肾癌根治术,以后长期血液透析治疗或肾移植术。 另一种主张行保留肾单位手术。近来的研究逐渐倾向于保留肾单位(NSS)的手术。