女性,45岁,农民 主诉:反复头晕头痛6年余。 现病史(简要):患者于2009年开始无明显诱因出现头晕,伴头痛,为枕部隐痛,伴有心慌,无恶心、呕吐,无耳鸣,无意识障碍、肢体抽搐,无腹痛、腹泻,休息后可改善。当地医院以“颈椎病”治疗后效果欠佳。 既往史、个人史、婚姻史、月经史及家族史无特殊。
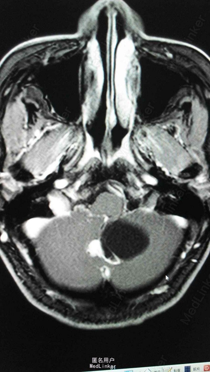
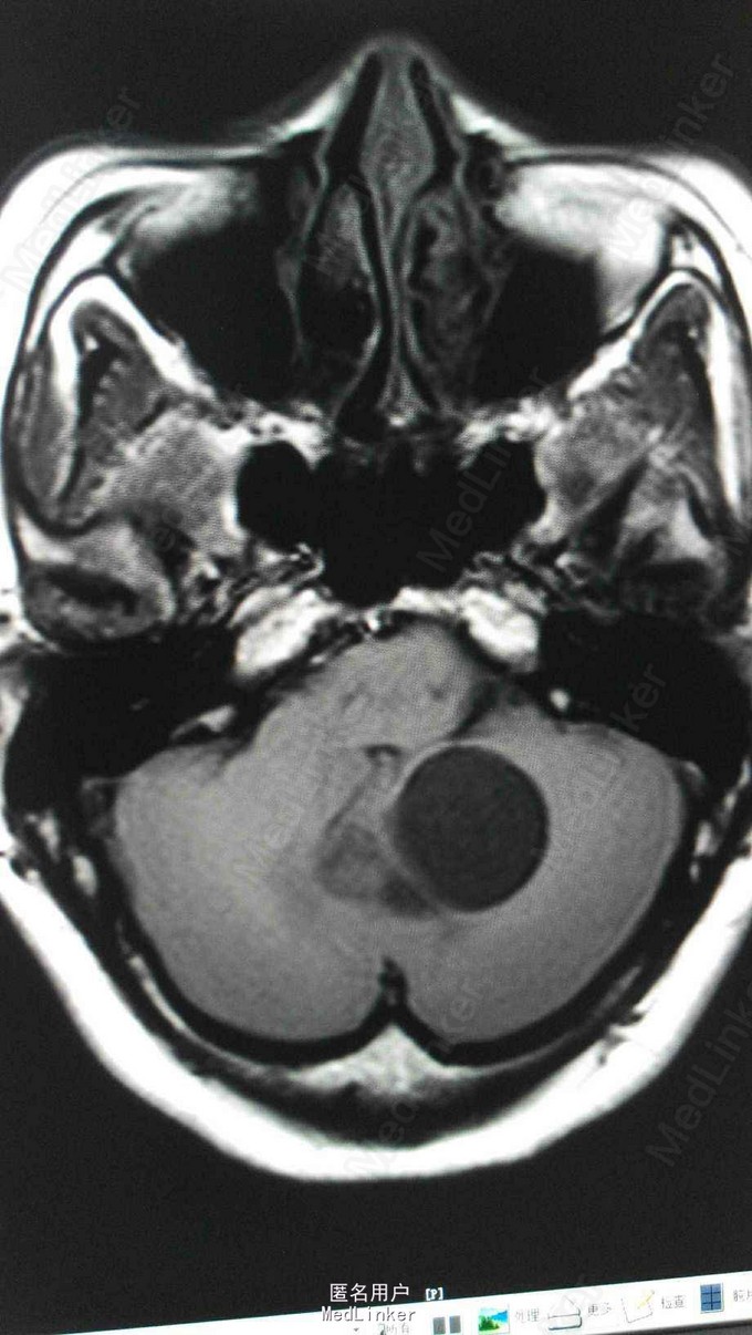
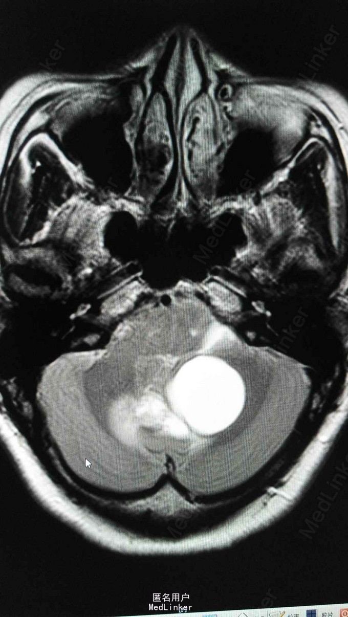
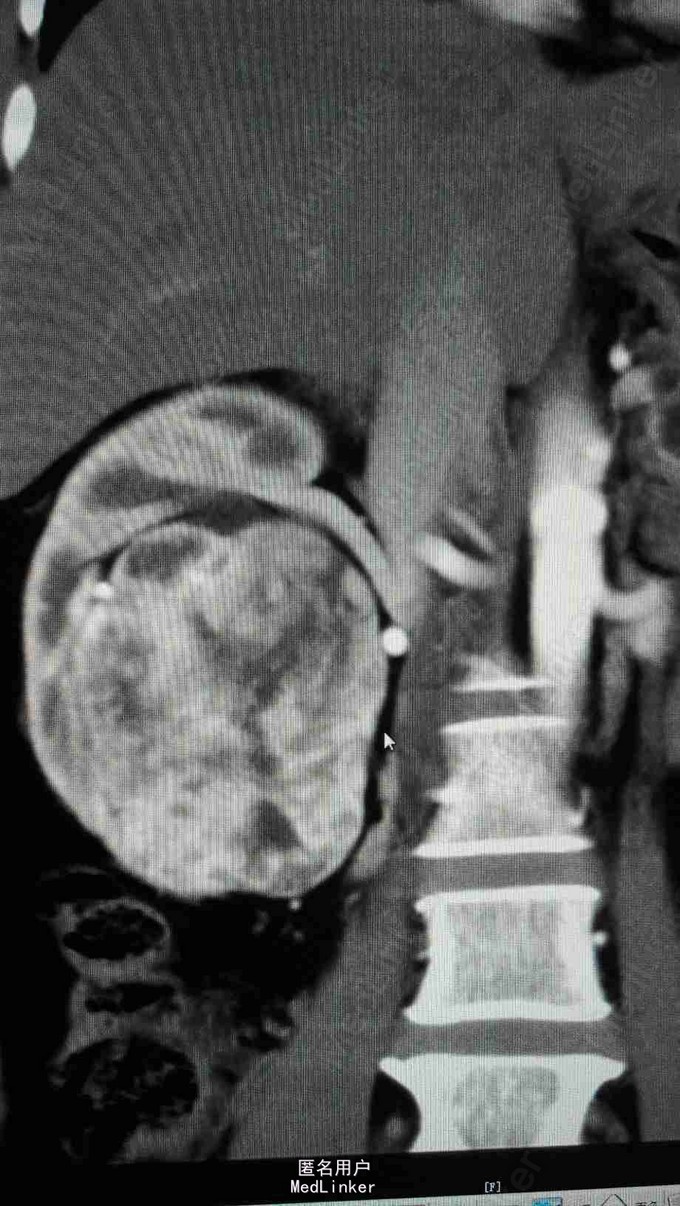
查体:T 36.5℃,P 81bpm,R 18bpm,BP 127/79mmHg;心肺腹及神经查体未及明显异常。 检查:三大常规、生化、凝血、乙肝、丙肝、梅毒、HIV未见明显异常。 头颅MRA:小脑蚓部占位,血管母细胞溜可能性大;左椎动脉颅内段局部轻度狭窄;左侧大脑前动脉A1段稍细。 腹部超声:右肾混合性占位性病变(中下极见一个大小约90*65*83mm的混合回声团,边界尚清,内回声不均,可见密集分布的无回声囊,呈蜂窝状);右肾局限性积液;胰腺内异常回声(多个大小不等的无回声囊,大者约12*11mm,边界清);双侧卵巢小囊(27*25mm(右)、25*25mm(左));肝、胆、脾未见明显异常;左肾、膀胱未见明显异常;双侧输尿管未见明显扩张;子宫未见明显异常。腹部增强CT ,胰腺多发囊性病变,右肾巨大占位,考虑肾癌。






VHL综合征 目前暂予完善相关检查及对症处理。
von Hippel-Lindau(VHL)综合征是一种罕见而危害严重的常染色体显性遗传病,表现为家族性多发性多器官性良恶性肿瘤症候群,发病率约1/36 000,患者多在18—30岁出现症状,其表现复杂多样,目前已发现位于14个脏器的40种不同病变,其中包括中枢神经系统(CNS)血管母细胞瘤(HB)、视网膜HB、嗜铬细胞瘤、肾细胞癌、肾囊肿、胰腺内分泌肿瘤、胰腺囊肿及内淋巴囊肿瘤等¨。VHL相关肿瘤中最常见者为CNS.HB,25%~40%,CNS—HB与VHL综合征有关。VHL综合征的病死率和致残率均较高,但由于对VHL综合征的认识尚不足,大多数病例漏诊。加强对确诊和可疑患者进行定期全面检查,可早期发现和治疗VHL相关病变,提高患者生活质量,延长生存时间,并为遗传学筛查及优生优育提供临床基础。VHL综合征虽为遗传性疾病,但仅60%的患者有家族史,其余为非遗传的新发病例。 而病例中为新住院病人,病史收集及相关检查并不完全,有待进一步完善。