患者44岁,因子宫增大伴疼痛、右侧盆腔多发性肿物入院。
入院行B超检查见子宫体积略大,肌层内有结节强回声,肌壁弥漫增厚。右侧盆腔见一直径11 em圆形肿物,结节状,包膜完整,在盆腔腹膜上又见多个大小不等肿物,直径1—3 cm不等,均光滑,有包膜,双侧附件未见明显占位。
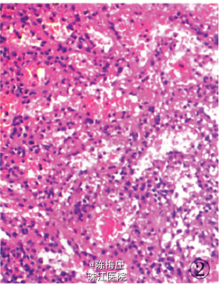
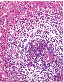
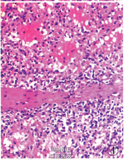
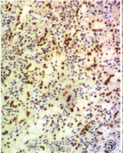
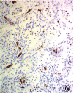
初步诊断:子宫肌瘤,子宫腺肌病,盆腔多发肿物性质待查。 确定诊断:盆腔腹膜脾组织植入。 完善相关检查,行全子宫切除术。病理检查:眼观:全切子宫1个,13 cm×8 cm×5.5 cm大小,子宫做多个切面,在肌层内查见2个大小不等灰白色肌瘤,肌瘤面积O.3 em×0.2 cm—l cm×0.66cm,肌瘤切面质韧,灰白色,呈编织状,边界清;内膜光滑,厚0.2—0.3 em,肌层厚2.5—3.5 cm,部分呈海绵状,子宫颈光滑,切面质韧,质地较细。盆腔内不规则肿物1个,灰红色,表面结节状,11cm×7.5 cm×3.5 cm大小,做多个切面,切面见多个结节,结节面积:0.4cm×0.3 cm~4.3 cm×2.5 cm,结节切面质脆,灰红色,质地细,结节边界清。另送圆形结节5个,直径1~3 cm不等,切面性质同盆腔较大肿物,均有包膜(图1)。镜检:患者子宫检查为子宫肌瘤,子宫腺肌病,病变无特殊性。盆腔多个肿物病变性质基本一致,为扩张血窦样组织,窦腔内充满红细胞,似脾红髓淤血(图2),在血窦样组织间有大小不等、发育良莠不齐的白髓样结节,结节较大者有小中央动脉(图3),结节较小者中央动脉不明显,内皮细胞无异型性,细胞分化均无异性,无病理性分裂象。可见玻璃变性纤维结缔组织似脾小梁样结构(图4)。免疫表型:血窦样内皮细胞nFli-1强阳性(图5),CD31弱阳性;CD34肿物小血管强阳性而血窦内皮细胞阴性(图6),CR和SMA均阴性;Ki-67增殖指数为5%。






本例患者的盆腔肿物切片大体类似脾组织,但白髓样组织发育欠佳。追问患者病史,7年前曾发生过车祸,脾粉碎性破裂,行脾切除。符合外伤性盆腔腹膜脾组织植入。doi:10.13315/j.cnki.cjcep.2014.05.035