主诉:下腹部增大伴疼痛1月余 病史:患者1月前无明显诱因发现下腹部增大,伴持续性疼痛,无腹胀,大小便正常,到当地医院行彩超检查提示右侧盆腔多发性肿物(具体不详)。为行进一步诊治来我院就诊。
辅助检查:入院行B超检查见子宫体积略大,肌层内有结节强回声,肌壁弥漫增厚。右侧盆腔见一直径11 cm圆形肿物,结节状,包膜完整,在盆腔腹膜上又见多个大小不等肿物,直径1—3 cm不等,均光滑,有包膜,双侧附件未见明显占位。
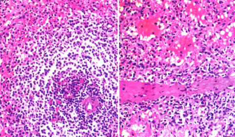
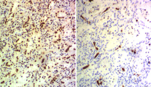
诊断:盆腔肿物,性质待查 治疗:行子宫全切除术。术后子宫性病理活检,子宫做多个切面,在肌层内查见2个大小不等灰白色肌瘤,肌瘤面积0.3cm×0.2cm—1cm×0.6 cm,肌瘤切面质韧,灰白色,呈编织状,边界清;内膜光滑,厚0.2—0.3 cm,肌层厚2.5—3.5 cm,部分呈海绵状,子宫颈光滑,切面质韧,质地较细。盆腔内不规则肿物1个,灰红色,表面结节状,11cm×7.5 cm×3.5 cm大小,做多个切面,切面见多个结节,结节面积:0.4 cm×0.3 cm~4.3 cm×2.5cm,结节切面质脆,灰红色,质地细,结节边界清。另送圆形结节5个,直径1~3 cm不等,切面性质同盆腔较大肿物,均有包膜。 镜检:患者子宫检查为子宫肌瘤,子宫腺肌病,病变无特殊性。盆腔多个肿物病变性质基本一致,为扩张血窦样组织,窦腔内充满红细胞,似脾红髓淤血,在血窦样组织间有大小不等、发育良莠不齐的白髓样结节,结节较大者有小中央动脉,结节较小者中央动脉不明显,内皮细胞无异型性,细胞分化均无异型性,无病理性分裂象。可见玻璃变性纤维结缔组织似脾小梁样结构。



随访:患者手术过程顺利,术后恢复良好后出院,定期门诊规律随诊,暂未发现明显异常 讨论:追问患者病史,7年前曾发生过车祸,脾粉碎性破裂,行脾切除。符合外伤性盆腔腹膜脾组织植入。脾组织外伤后同体移植,是另一种形式的异位脾,脾破裂后的组织碎片播散于腹腔,继而生长为脾组织结节,常为多发性,数量可以从数个到数百个或更多,结节形状常不规则,小者仅米粒大小,大者直径可达数厘米,植入位置依次为小肠、浆膜、大网膜、壁层腹膜、结肠表面和横隔等。