男,71岁。因左上腹隐痛不适伴进行性消瘦1个月余,于2010年7月l3日收入绍兴第二医院。患者10年前因外伤性脾破裂行脾切除术。
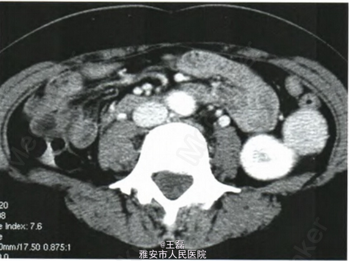
查体:腹部中线有一手术瘢痕,左上腹轻压痛,无其他阳性体征。 实验室检查:血糖类抗原1 856U/ml。 CT检查:胰腺体、尾部乏血供占位病变;脾脏术后缺如;左肾外上缘见一直径28 mm类圆形均匀软组织密度结节,轮廓清晰光整,基底宽,与肾皮质相连,平扫CT值57 HU,增强后动脉期明显均匀强化,CT值130 HU,静脉期持续均匀强化,CT值90 HU。
临床诊断为胰体尾癌。 全麻下行胰腺体尾部癌根治术。术中见肾外上缘直径约30 mm暗红色结节,有包膜,基底与肾包膜紧密粘连,局部数条小血管穿越。腹腔内大网膜、膈肌腹侧面、腹内壁有较多米粒至黄豆大小不等暗红色无蒂小结节灶散布,切除肾上结节及另4枚小结节灶送病理检查:(左肾)淋巴组织增生性病灶伴结节滤泡状结构,结合临床考虑为脾组织异位植
绝大多数脾组织植入患者无症状,通常因其他疾病行影像学检查或腹部手术时才偶然发现。当脾组织植入结节毗邻肾脏时,可被误诊为肾肿瘤、转移或术后复发。鉴于脾组织植入可能是机体为免于无脾状态而作的一种代偿行为而并非一种病态,其自然过程和预后良好,如果无并发症,一般无需干预。因此,避免误诊误治的关键在于提高对脾组织植入的认识。对于既往有脾切除术史的患者,尤其是创伤后脾切除患者,如发现腹部肿块,均应与脾组织植入相鉴别。腹腔镜下肾切除术也可发生脾损伤,因此,术后如在脾、肾、胰区域发现肿块,应除外脾组织植入结节可能。常规影像检查均不能确定肿块是否为脾组织来源。99Tc扫描对诊断脾组织植入具有高度特异性,是目前唯一的无创性确诊手段。B超或cT引导下细针穿刺活检是简捷可行的确诊方法。
