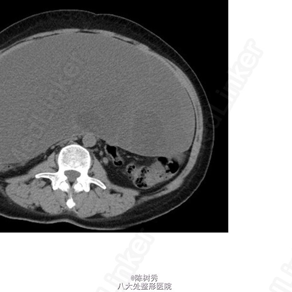
主 诉:发现腹部肿物1月 现病史:患者1月前体检发现腹部巨大肿物,无伴腹胀、腹痛、腹泻、便秘等不适,当地医院超声检查提示腹盆腔巨大肿物,性质不明,建议至上级医院就诊。为求进一步诊治,来我院就诊。我院2015-05-07腹盆增强CT+小肠重建:腹盆腔内巨大多房囊性肿块;盆腔少量积液;子宫节育器置入后改变。门诊拟“腹部占位”收入我科。 自起病以来,精神、睡眠、食欲可,大小便如常,体重下降5KG。
全身浅表淋巴结未及。腹部膨隆,未见胃肠型及蠕动波。腹软,全腹无压痛、反跳痛,全腹可及巨大肿物,质韧,边界清晰,活动度差,大小约30x27x12cm,无压痛及反跳痛。肝、脾肋下未及肿大,Murphy’s征(-),肝区叩痛(-),肾区无叩痛,肠鸣音可,移动性浊音(-)。直肠指诊(胸膝位):肛周皮肤无异常;进指7cm未及明显肿物,退指指套无血染。 辅 助 检 查 2015-05-07 腹盆增强CT+小肠重建 腹盆腔内巨大多房囊性肿块,请结合临床;盆腔少量积液;子宫节育器置入后改变。 2015-05-07 胸部CT平扫 双肺散在淡片、磨玻璃密度影;左肺门及纵隔多发小淋巴结,部分钙化;双侧胸膜局部增厚;心包稍厚。

入院诊断:腹部占位 在全身麻醉下行剖腹探查、腹腔巨大肿物切除、子宫及双侧附件切除、阑尾切除、大网膜切除术。 剖腹探查后发现患者腹腔巨大占位为卵巢来源,请妇产科会诊,建议行卵巢囊肿切除、子宫及双侧附件切除术,必要时行阑尾切除+大网膜切除术。向患者家属充分交待病情及风险后,患者家属要求行卵巢囊肿切除、子宫及双侧附件切除术,必要时行阑尾切除、大网膜切除术。术中冰冻病理回报:(左附件)卵巢粘液性囊腺瘤,局灶不除外交界性。术后留置尿管一根,切下标本常规送石蜡病理检查。
术后恢复良好,定期复查。
