下载或打开 医联APP 查看完整评论
立即下载
打开APP
青年女性,主诉:左侧面部麻木,右侧听力下降半年。
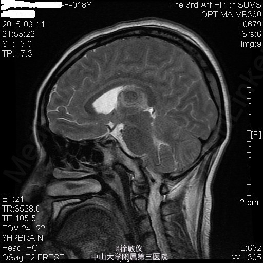
查体:神清,查体合作,对答切题。颈软,无抵抗。左侧面部浅感觉痛觉过敏。双侧眼球运动正常,双侧视野粗测无缺损。右侧听力粗测听力下降。双侧瞳孔等大等圆,直径3mm,对光反射灵敏。双侧肢体肌力5级,肌张力正常。病理征未引出。 辅查:头颅MR提示:双侧桥小脑角区、鞍上池右侧、左侧三叉神经颅内段及枕部多发占位,考虑为神经纤维瘤病II型。



诊断:双侧听神经鞘瘤 排除手术禁忌症后,在全麻下行显微镜下经右侧乙状窦后入路右侧桥小脑角区占位病变切除术,术程顺利。术后于SICU监护治疗1天后顺利转回我科,予抗感染、脱水降颅压、营养支持及对症治疗,患者恢复良好。 术后病理诊断:(桥小脑角占位)形态结合免疫组化结果,符合神经鞘瘤。免疫组化结果(⑥):S100(+),Vim(+),Ki-67(1%+)。 术后复查头颅MR示:1、右侧听神经瘤术后改变,右侧桥小脑角区占位大部分已切除,术区少量积液同前;左侧侧脑室内少量积血,基本同前。 2、左侧桥小脑角区、鞍上池右侧、左侧三叉神经颅内段及枕部多发占位同前,考虑神经纤维瘤病。



