下载或打开 医联APP 查看完整评论
立即下载
打开APP
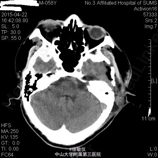
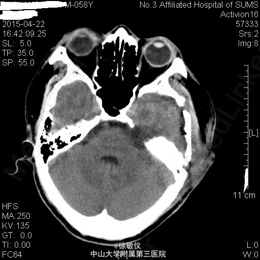
老年患者,主诉:左耳耳鸣、听力下降8年,伴头痛2个月。 现病史:患者8年前始无明显诱因反复出现左耳耳鸣,自诉如鞭炮样鸣响,伴听力进行性下降,无耳道流血流液,可自行缓解。患者曾至当地医院就诊,保守治疗后改善不明显。2个月前始患者出现阵发性全头痛,偶伴头晕、恶心,近2周呕吐胃内容物2次,无发热,无肢体活动异常等不适。于当地医院行头部CT,结果提示:左侧桥小脑角区占位性病变伴出血,听神经瘤(神经鞘瘤)可能性大。患者为进一步治疗来我院。
查体:左耳听力缺失,右耳听力正常。余查体无特殊。 辅查:头部MR:1、左侧桥小脑角区占位病变,考虑为听神经瘤并出血、囊变,病变与左侧听神经、椎动脉关系密切;2、颅脑MRA示脑动脉未见异常。 头部CT:双侧额顶枕叶、半卵圆中心、侧脑室周围、放射冠、基底节区及右侧岛叶多发密度灶,考虑缺血变性灶;颅脑CTA示肿瘤与左侧椎动脉关系密切。



排除手术禁忌后于2015-04-03在全麻下行左侧桥小脑角区占位病变+脑室侧引流+颅内压探头植入术,术程顺利。术后于SICU监护生命体征平稳后转入我科,予预防感染、抑酸、营养支持及对症治疗,患者恢复良好。 术后复查头部CT未见明显异常。 病理诊断:(桥小脑角占位)符合富于细胞性神经鞘瘤。

