主诉:间断乏力2年,加重1周 病史:患者于3年前出现乏力,腹胀,消瘦,于我院检查后明确"乙肝肝硬化",HBVDNA<1.0E+03copies/mL,住院保肝治疗后出院。2年前再次出现乏力,化验转氨酶升高,彩超提示肝右叶低回声,直径0.9cm,行增强CT示:肝内结节。开始口服拉米夫定片抗病毒治疗。服药1年后病毒反弹,HBVDNA1.39E+0503copies/mL,开始联合阿德福韦酯胶囊抗病毒治疗,服药3个月后病毒转阴,此后反复出现乏力,多次因乙肝肝硬化住院治疗,2014年复查彩超未提示肝内结节。近1周来患者自觉乏力不适症状加重
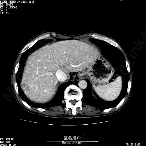
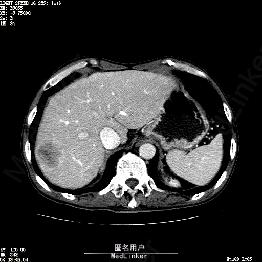
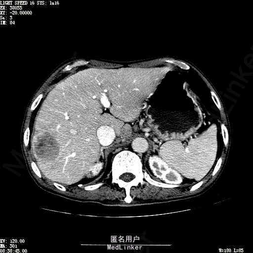
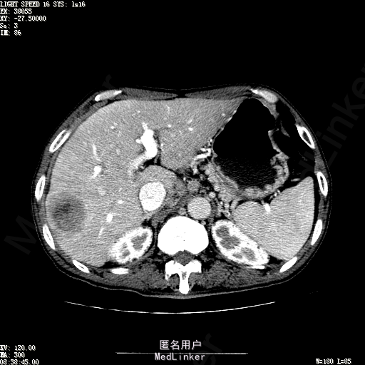
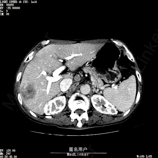
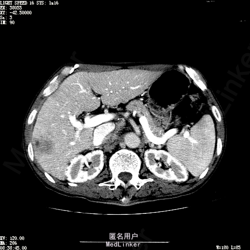
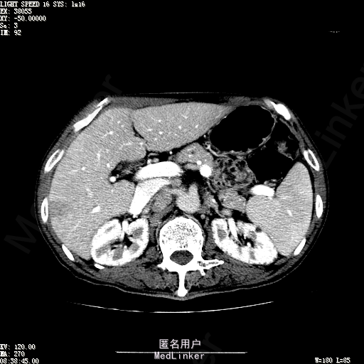
查体:体温36.3℃,脉搏76次/分,呼吸18次/分,血压120/80mmHg。神志清晰,肝病面容,皮肤粘膜颜色正常无黄染,全身皮肤未见皮疹、瘀点及紫癜,肝掌阳性,未见蜘蛛痣,浅表淋巴结未触及。巩膜无黄染,结膜正常。双肺呼吸音清,无胸膜摩擦音。心率:76次/分,心律齐,心音正常,无杂音,无心包摩擦音。腹平坦,无腹壁静脉曲张,未见胃肠型及蠕动波,双侧腹股沟可见手术瘢痕,脐部正常。触诊:无压及痛反跳痛,无腹肌紧张,无腹部包块。肝脾肋下未触及,Murphy征阴性,肾未触及,移动性浊音阴性。肝肾区叩击痛阴性,无脾区叩击痛。听诊:肠鸣音正常,4次/分,无气过水声。脊柱无侧弯,脊柱活动度正常,棘突正常,四肢正常,关节正常,无下肢水肿,无下肢静脉曲张,无杵状指趾。扑翼样震颤阴性。 门诊化验ALT9U/L,AST21U/L,HBVDNA<1.0E+03IU/mL,HBsAg1138IU/mL,WBC6.2x10^9/L,RBC3.92x10^12/L,PLT167x10^9/L,AFP28.95ng/ml,AFU 29U/L,彩超示肝右叶肝回声,大小约5.1*3.5cm,Fibroscan:脂肪变:163硬度10.8。 CT如下图







诊断:1、乙肝肝硬化 活动性 代偿期 原发性肝癌 2、胃溃疡 3、十二指肠球部溃疡 处理:血管介入治疗:手术者术前查看患者相关情况:化验回报:血细胞分析(五分类):*白细胞计数 8.1 10^9/L、*红细胞计数 4.00 10^12/L↓、*血小板计数 202.0 10^9/L、*血红蛋白 136 g/L,肝功酶谱:*丙氨酸氨基转移酶 5 U/L、天门冬氨酸氨基转移酶 22 U/L、*白蛋白 37.6 g/L、*总胆红素 17.8 umol/L,肾功能检测:*尿素 5.79 mmol/L、*肌酐 67.1 umol/L,凝血五项:凝血酶原时间 10.7 秒↓、凝血酶原百分活动度 93.3 %,甲胎蛋白测定:甲胎蛋白 30.30 ng/mL↑。患者病情平稳,今日术前准备,签署相关文件。 手术简要经过:患者平卧位,以右侧腹股沟区为中心常规消毒、铺巾、利多卡因局麻。改良Seldinger法逆行穿刺右侧股动脉成功,置入5F血管鞘。经血管鞘造影,见髂外动脉明显迂曲,经鞘送入超滑导丝,退出原5F血管鞘,换入5F长25厘米血管鞘。沿导丝送入肝管,将管头送入腹腔干,进一步送至肝右动脉。经正位、右前斜30°造影,明确肝右叶膈顶一处较大肿瘤染色,S5段一处较小肿瘤染色。以微导管超选S6段肝动脉干,经多角度造影明确为肿瘤供血动脉,注入混悬液(碘化油10毫升+雷替曲塞2毫克)3毫升,明胶海绵颗粒1/12支。再以微导管超选S7段肝动脉干,造影明确为肿瘤供血动脉,注入混悬液2毫升,明胶海绵颗粒1/20支。再以微导管超选S8段分支,造影明确为肿瘤供血动脉,注入混悬液2.8毫升,明胶海绵颗粒1/12支。再以微导管超选S5段肝动脉分支,造影明确为较小肿瘤供血动脉,注入混悬液0.8毫升,明胶海绵颗粒1/30支。退出微导管。经肝右动脉注入奥沙利铂100毫克。退出肝管。拔出血管鞘,局部压迫5分钟。加压包扎。
随访:术后第一天患者肝区略有不适感,未特殊处置,术后第二天患者肝区不适症状消失,术后第八天,患者无不适感,饮食睡眠正常,尿便正常。查体:神志清晰,肝病面容,皮肤粘膜颜色正常无黄染,全身皮肤未见皮疹、瘀点及紫癜,肝掌阳性,未见蜘蛛痣,浅表淋巴结未触及。巩膜无黄染,结膜正常。心肺听诊无异常。腹平坦,无压及痛反跳痛,肝脾肋下未触及,Murphy征阴性,肾未触及,移动性浊音阴性。肝肾区叩击痛阴性,无脾区叩击痛。无下肢水肿,扑翼样震颤阴性。 化验:血细胞分析(五分类):白细胞计数 5.7 10^9/L、红细胞计数 3.87 10^12/L、血小板计数 202.0 10^9/L、血红蛋白 132 g/L、中性粒细胞百分比 66.5 %,肝功酶谱:丙氨酸氨基转移酶 40 U/L、天门冬氨酸氨基转移酶 50 U/L、白蛋白 36.1 g/L、总胆红素 12.0 umol/L,肾功能检测:尿素 4.22 mmol/L、肌酐 54.8 umol/L,葡萄糖测定:葡萄糖 5.05 mmol/L,凝血五项:凝血酶原时间 11.1 秒、凝血酶原百分活动度 88.5 %,C反应蛋白测定:C反应蛋白 47.20 mg/L,降钙素原检测:降钙素原测定 0.06 ng/ml,甲胎蛋白测定:甲胎蛋白 10.35 ng/mL。 讨论:患者高龄,肝功能A级,开腹行肝癌手术风险较大,对于此类患者介入手段治疗是最适合患者的治疗方式。