患者女,76岁,因“乏力、纳差50年,TACE术后1月”入院。患者既往因吸入“氯丁二烯”后出现乏力、纳差,转氨酶升高,保肝治疗效果不佳,长期ALP/GGT高;7年前体检行腹部CT发现门脉高压;1年前体检发现肝硬化、腹水,查AMA++、ANA +(1:320)、SSA ++,考虑“原发性胆汁性肝硬化”,予优思弗等治疗;1月前腹部CT提示右肝原发性肝癌可能,AFP 179ng/ml,住院行经导管肝动脉化疗栓塞术(TACE),术后病情平稳出院,本次为再次行TACE入院。
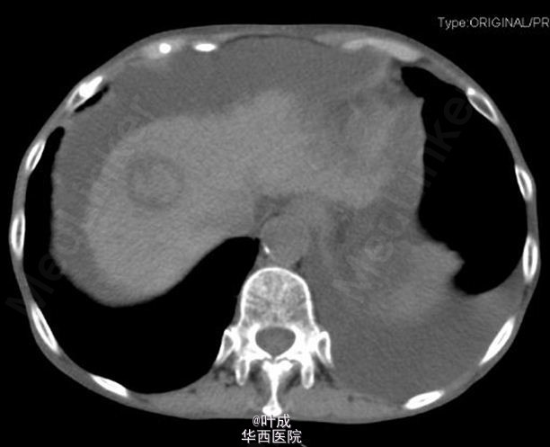
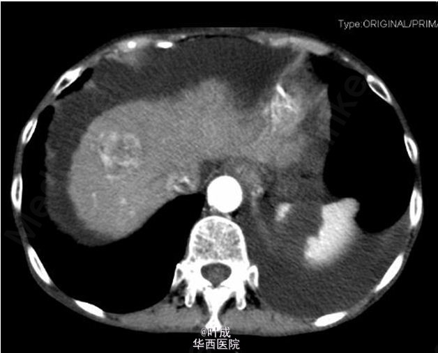
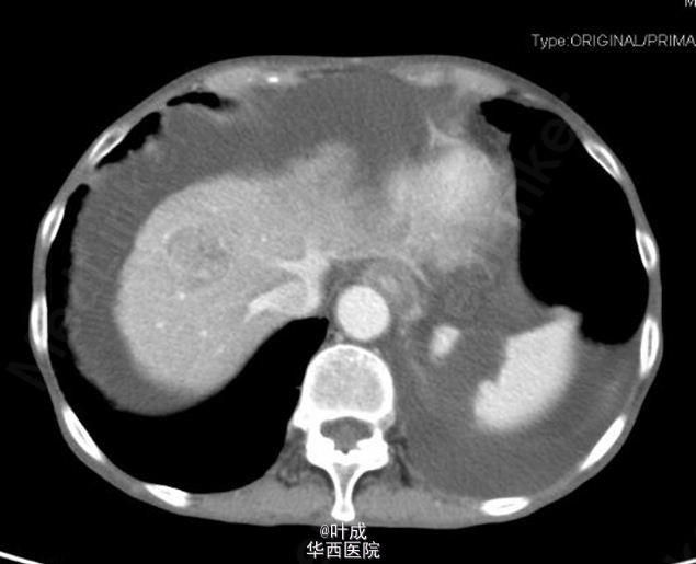
查体:T:37.2℃,P:98次/分,R:18次/分,BP:155/84mmHg,心肺查体无特殊,腹部膨隆,全腹软,上腹部轻压痛,无反跳痛,腹部未触及包块,肝肋下1-2cm,剑下5cm,质地较硬,脾脏肋下未触及,双下肢轻度水肿。 辅助检查:血常规:Hb 96 g/L,WBC 3.86 10^9/L,N 75.3 %;肝肾功:TB 18.0 umol/L,DB 10.7 umol/L,ALT 33 IU/L,AST 109 IU/L,ALB 25.6 g/L,ALP 142 IU/L,GGT 175 IU/L,肾功未见异常;AFP 214.50 ng/ml,CEA 4.23 ng/ml,CA19-9 89.39 U/ml,CA-125 478.40 U/ml;输血前检查:乙肝表面抗体、乙肝e抗体、乙肝核心抗体阳性,余阴性,高精度HBV病毒载量 阳性,<20 IU/mL;凝血常规、大小便常规未见异常;腹水常规示黄色微混,有核细胞 20 10^6/L,总蛋白 12.6 g/L。腹部增强CT:肝硬化,腹水,食管-胃底粘膜下、胃周静脉曲张,脾大;右半结肠肿胀,肝门区、肠系膜根部及腹主动脉周围淋巴结增多,部分增大,自发性腹膜炎?与旧片比较腹水明显增多,淋巴结明显增多。肝右前叶上段片团影,肝右前叶上段见一大小约2.8×2.8cm的稍低密度影,其内见稍高密度影,边界模糊,增强扫描呈不均匀强化(图1-3)。



目前考虑诊断:原发性肝癌 原发性胆汁性肝硬化失代偿期 慢性阻塞性肺疾病 高血压病 入院后予多烯磷脂酰胆碱、还原性谷胱甘肽、熊去氧胆酸保肝,恩替卡韦抗病毒,呋塞米、螺内酯利尿,补充人血白蛋白等治疗,完善术前准备,行TACE术:局麻下穿刺股动脉行肝动脉造影示,肝内肿瘤染色,呈“快进快出”,符合原发性肝癌造影征象,以微导管超选行肿瘤供血动脉行化疗栓塞治疗。
患者术后第3天出现畏寒、高热,咳嗽、咯痰加重,辅查:白细胞计数 8.41*10^9/L,中性分叶核粒细胞百分率 93.4%,降钙素原 0.35ng/ml。因患者对青霉素、头孢及喹诺酮类抗生素过敏,给予泰能抗感染治疗后患者发热、咳嗽、咯痰症状逐渐缓解出院。 根据巴塞罗那临床肝癌分期(Barcelona Clinic Liver Cancer,BCLC)和肝细胞癌治疗体系,TACE 是中期病变(BCLC 分期的 B 期)的推荐方案。 TACE适应证 1.术前栓塞化疗,可减少肝癌术中出血量及术后复发率;同时做肝动脉造影,可了解肿瘤的大小、部位及供血情况,有利于手术方案的设计。 2.肝癌切除不彻底或术后复发者。 3.因各种原因不能切除或不愿接受手术治疗的原发性或转移性肝癌。 4.肝癌破裂出血、难以控制的癌痛而无手术条件者。 5.弥漫型或两肝多结节型肝癌只适合介入治疗者。 6.总胆红素>51.3μmol/L者可作亚段性动脉化疗栓塞,当总胆红素>34.2μmol/L时应超选至肝左、右叶动脉。