主诉:发现乙肝标志物阳性20余年,肝区隐痛20月 病史:现病史:患者20余年前,体检时发现乙肝病毒标志物阳性,未进一步治疗。9年前发现肝硬化,于我院住院治疗后,好转。20月前出现肝区隐痛,于苏家屯中心医院发现肝占位,未进一步诊治。5月前,肝脏隐痛加重,就诊于我院,诊断"原发性肝癌",行TACE治疗一次。
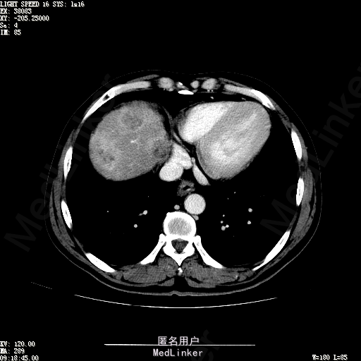
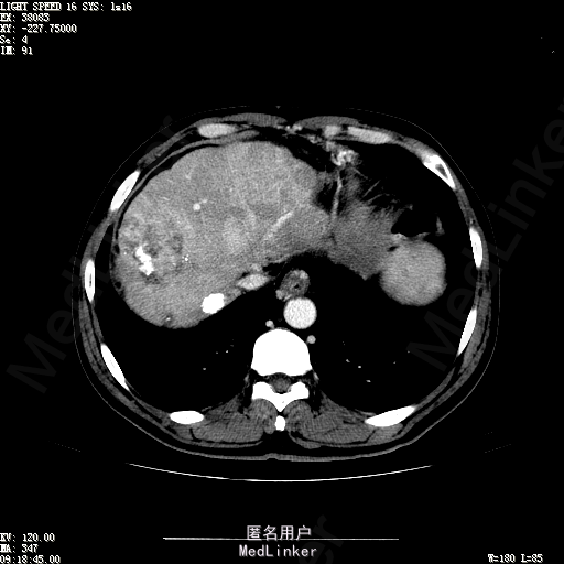
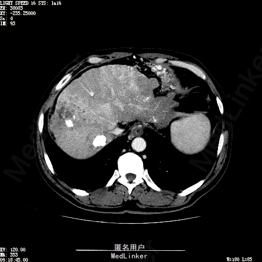
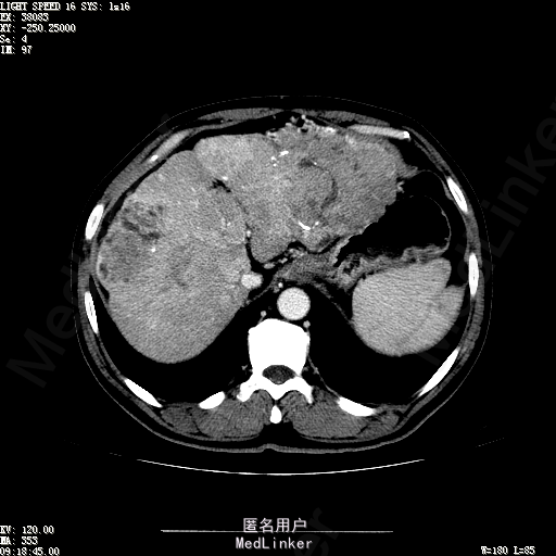
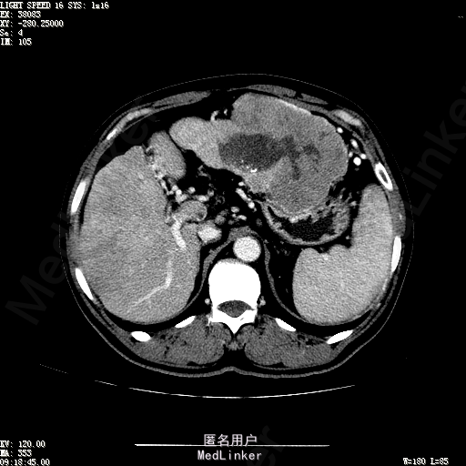
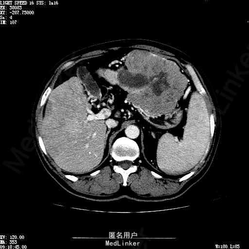
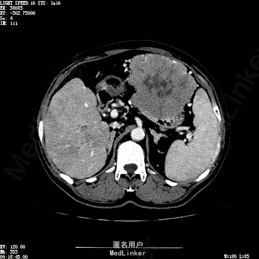
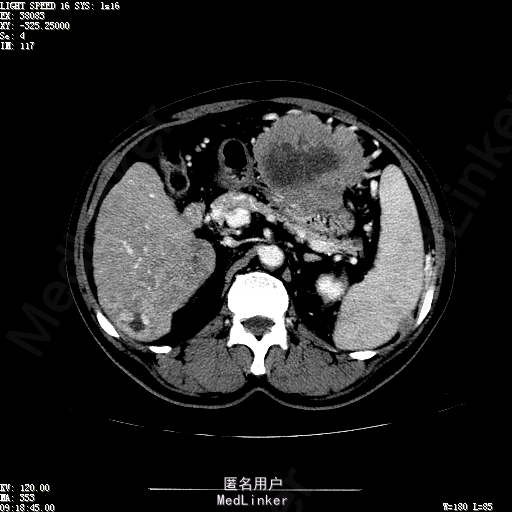
查体:生命体征平稳,神志清晰,发育正常,营养中等,体位自如,表情安静,无面容,配合检查合作。皮肤粘膜颜色正常,腹型平坦,无腹壁静脉曲张,未见胃肠型及蠕动波,无瘢痕,脐部正常。触诊:无压痛,无反跳痛,无腹肌紧张,无腹部包块。肝未触及,Murphy征阴性,脾未触及,肾未触及,无移动性浊音。 化验回报:血细胞分析(五分类):*白细胞计数 4.6 10^9/L、红细胞计数 4.27 10^12/L、血小板计数 100.0 10^9/L、血红蛋白 145 g/L、中性粒细胞百分比 68.6 %,*葡萄糖测定:葡萄糖 5.99 mmol/L,血清离子测定:*钾 4.46 mmol/L、钠 143.5 mmol/L,肾功能检测:*尿素 6.86 mmol/L、肌酐 84.2 umol/L,凝血五项:凝血酶原时间 10.7 秒、凝血酶原百分活动度 93.3 %,乙肝六项:乙型肝炎病毒表面抗原 阳性(+) 、乙型肝炎病毒e抗体 阳性(+) 、乙型肝炎病毒核心抗体 阳性(+) ,甲胎蛋白测定:甲胎蛋白 7146.00 ng/mL,ALT23U/L,AST42U/L CT检查如下图









诊断:乙肝肝硬化 静止性 代偿期 原发性肝癌 2型糖尿病 高血压病 下肢动脉闭塞征 诊断依据:1.有明确乙肝肝硬化病史 2.肝区隐痛,于外院发现肝占位,我院诊断肝癌,已行TACE治疗 3.查体:有肝掌 4.既往影像学提示肝内占位 处置:血管介入治疗:患者平卧位,以左侧肘窝为中心常规消毒、铺巾、利多卡因局麻。超声引导下,于肘横纹上方1厘米处确定皮肤穿刺点,改良Seldinger法逆行穿刺左侧肱动脉成功,置入5F血管鞘。沿导丝送入Cobra C2导管,送入降主动脉,将管头送入腹腔干,进一步送至肝固有动脉。造影见肝内广泛弥漫肿瘤染色,以右叶为主。以微导管超选肝右动脉,造影明确为肿瘤供血动脉,注入碘化油5毫升。退出微导管,经C2管注入奥沙利铂100毫克。退出C2管。拔出血管鞘,局部压迫10分钟。加压包扎。患者送返病房。
随访:术后8天,患者无发热、无恶心、有肝区隐痛减轻,食欲可,二便如常。查体:生命体征平稳,神志清晰,发育正常,营养中等,体位自如,表情安静,无面容,配合检查合作。皮肤粘膜颜色正常,腹型平坦,无腹壁静脉曲张,未见胃肠型及蠕动波,无瘢痕,脐部正常。触诊:无压痛,无反跳痛,无腹肌紧张,无腹部包块。肝未触及,Murphy征阴性,脾未触及,肾未触及,无移动性浊音。 化验:血细胞分析(五分类):白细胞计数 2.8 10^9/L、红细胞计数 4.07 10^12/L、血小板计数 91.0 10^9/L、血红蛋白 140 g/L、中性粒细胞百分比 68.2 %,肝功酶谱:丙氨酸氨基转移酶 41 U/L、天门冬氨酸氨基转移酶 51 U/L、白蛋白 36.3 g/L、总胆红素 20.3 umol/L,肾功能检测:尿素 5.78 mmol/L、肌酐 60.0 umol/L,葡萄糖测定:葡萄糖 6.98 mmol/L,凝血五项:凝血酶原时间 11.0 秒、凝血酶原百分活动度 89.6 %,C反应蛋白测定:C反应蛋白 95.60 mg/L,降钙素原检测:降钙素原测定 0.14 ng/ml,甲胎蛋白测定:甲胎蛋白4684.00 ng/mL。 讨论:该患介入术后甲胎蛋白下降明显,提示介入治疗效果有效,术后必须定期复查肝功、AFP、肝脏影像学检查,检测肿瘤有无复发。