主 诉:反复肝区不适3年余,乏力、肝区不适3天。 现病史:患者3年余前无诱因发现肝区不适,在我院完善相关检查明确"乙肝肝硬化"诊断,开始口服"阿德福韦酯"抗乙肝病毒治疗,其后多次因肝区不适在我院住院治疗,症状均可好转,1年前行MRI检查发现肝尾叶占位,考虑为HCC,半年前行肝尾叶肝癌介入手术。近3天患者无诱因出现乏力、肝区不适症状,休息后无缓解,现为进一步治疗来我院,门诊行彩超检查:肝硬化、脾面积大。肝右叶高回声性质待定。门诊以"乙肝肝硬化,原发性肝癌介入术后"收入院。患者无发冷及寒战,无腹胀及腹痛,饮食睡眠尚可,二便正常,近期体重无明显减轻。 既往史:一般健康状况良好,否认高血压病史,有糖尿病史,2型糖尿病2年余,曾用胰岛素治疗,未检查血糖,否认心脏病史,,否认其他疾病,否认传染病史 ,预防接种史具体不详,否认手术外伤史,无输血史,无食物或药物过敏史。
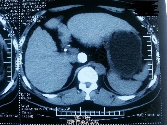
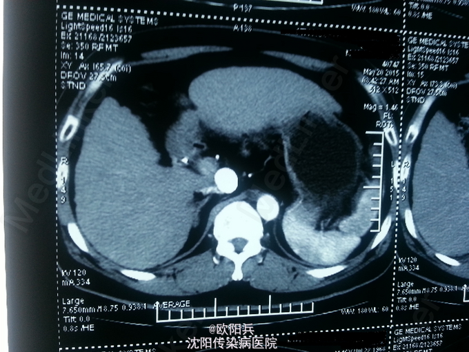
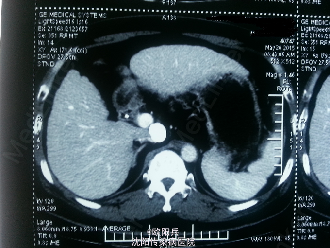
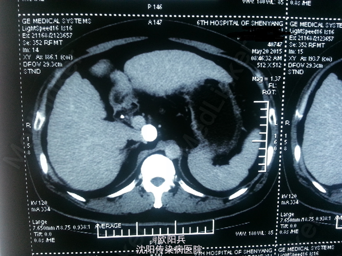
查体:神清语明,面色晦暗,巩膜无黄染,浅表淋巴结无肿大,心肺听诊无异常,腹软,无压痛,肝脾肋下未触及,移动性浊音阴性,肠鸣音正常,双下肢无水肿,扑翼样震颤阴性。 化验:血细胞分析(五分类):*白细胞计数 3.6 10^9/L、*血小板计数 113.0 10^9/L↓、*血红蛋白 166 g/L、中性粒细胞百分比 60.7 %,肝功酶谱:*丙氨酸氨基转移酶 92 U/L↑、*总蛋白 75.0 g/L、*白蛋白 47.0 g/L、*总胆红素 24.0 umol/L↑,糖化血红蛋白检测:糖化血红蛋白 13.50 %↑,*葡萄糖测定:*葡萄糖 15.66 mmol/L↑,血清离子测定:*钾 4.61 mmol/L,肾功能检测:*尿素 5.25 mmol/L、*肌酐 47.3 umol/L↓,血浆氨测定:血氨 29.00 ,凝血五项:凝血酶原时间 9.5 秒↓,乙肝六项:乙型肝炎病毒表面抗原 阳性(+) ↑、乙型肝炎病毒e抗体 阳性(+) ↑、乙型肝炎病毒核心抗体 阳性(+) ↑,丙型肝炎抗体测定(发光法):丙肝抗体 0.01 S/CO,甲胎蛋白测定:甲胎蛋白 7.29 ng/mL。 心电图:正常。 彩超(2015-5-17我院门诊):肝硬化、脾面积大,肝右叶高回声性质待定。 CT:1、肝尾叶占位介入术后改变;2、脾大,肝硬化,肝内多发RN可能性大。




根据患者病史、临床表现及目前辅助检查分析诊断:1、乙肝肝硬化 代偿期 活动性(C-P A级);2、原发性肝癌(肝尾叶)介入术后;3、2型糖尿病。主要诊断依据有: 1、患者乙肝肝硬化、肝癌介入病史明确,2型糖尿病史2年余。2、查体:面色晦暗,移动性浊音(-)。3、化验:患者肝功示转氨酶升高,无低白蛋白血症,C-P评分5分,支持乙肝肝硬化 代偿期 活动性(C-P A级)。糖化血红蛋白 13.50 %↑,葡萄糖 15.66 mmol/L↑,支持2型糖尿病。关于鉴别诊断,患者无酗酒史,不考虑酒精性肝病。其肝癌经DSA下肝动脉造影证实,无需鉴别。患者复查增强CT示肝尾页栓塞密实,边缘无强化,可暂无进一步处理,定期复查。本次住院行常规护肝抗肿瘤治疗。
患者半年前行介入治疗,效果如图,此类患者需密切观察肿瘤进展,目前暂无特殊处理。