下载或打开 医联APP 查看完整评论
立即下载
打开APP
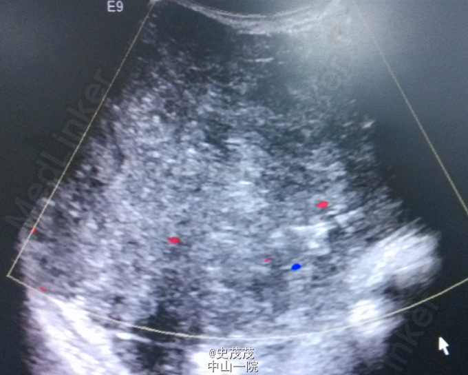
47岁,女性,因“发现右乳肿物2年余”入院。患者于2年前无明显诱因发现右乳肿物,局部哟红肿、疼痛不适,乳头无异常溢血溢液,肿物于月经来潮前疼痛加剧。半年来肿物逐渐增大,伴疼痛。既往史:2年前因“右侧乳房巨大乳腺纤维瘤”行纤维瘤切除术。查体:双侧乳房对称,皮肤未见桔皮征及酒窝征,乳头无凹陷、畸形。右乳外上象限可及一约20cm×10cm大小肿物,质中,表面光滑,边界清,活动度可,无压痛,与皮肤无黏连。挤压乳头无溢血、溢液。同侧腋窝及锁骨淋巴结均未及明显异常。对侧乳房未及异常。辅助检查:乳腺B超:1、右侧乳房局灶性病变,位于全乳腺体层,范围210×100mm,呈低混合回声,境界清晰,呈膨胀式生长。彩色血流检查瘤体内部见丰富血流信号,考虑叶状囊肉瘤,符BI-RADS 5 级;2、符合乳房囊性增生病超声改变。诊断:右侧乳房肿物:叶状囊肉瘤?治疗方法:行“右乳肿物切除术”,术中在外上象限切出肿瘤大小约20×20cm大小,浸润皮肤及胸大肌,实性,术中冰冻为叶状囊肉瘤,因需待石蜡结果,延缓手术。术后石蜡病理:病变符合乳腺交界性叶状肿瘤伴导管上皮非典型性。予密切随诊。应患者要求,择期行二期重建。总结:见下图乳腺癌NCCN指南2015年V2版叶状肿瘤。








