下载或打开 医联APP 查看完整评论
立即下载
打开APP
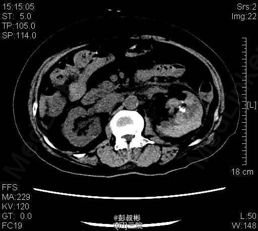
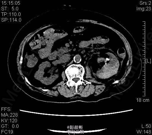
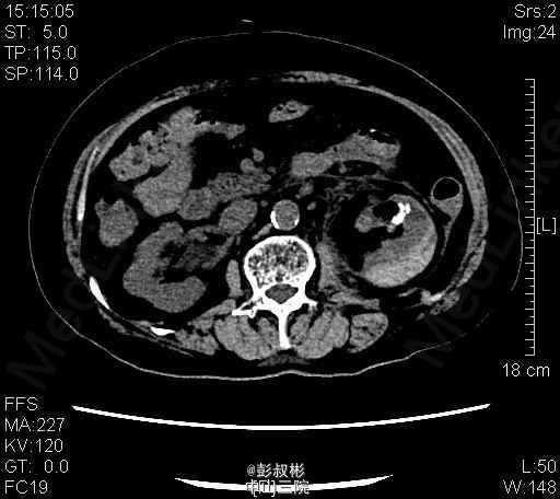
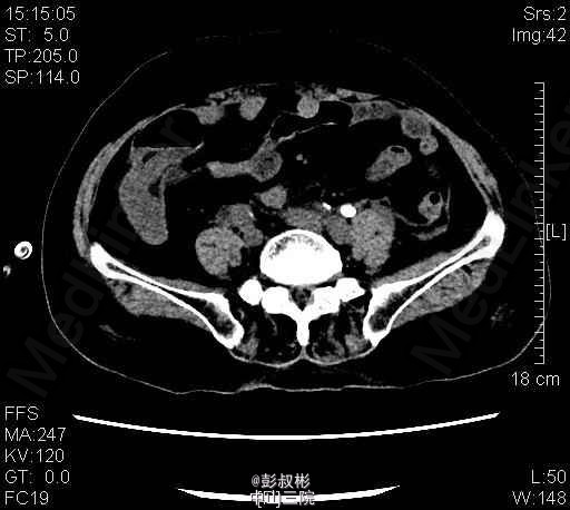
1、患者,女 80岁 2、主诉:左侧腰痛伴发热2天。 3、病史:患者于2天前无明显诱因突发左侧腰痛伴发热,畏寒,最高体温40.1℃,经急诊入院。患者曾于1年前被诊断为“双肾多发结石”,行“左侧经皮肾镜碎石取石术”后好转出院。 4、入院查体:左肾区叩击痛(+),左侧肋脊点、肋腰点压痛(+)。 5、辅助检查:KUB检查示:考虑左输尿管上段结石。B超提示:左肾积脓。胸部正位片:1、双肺纹理增粗,双下胸膜增厚。2、心影增大,主动脉硬化。 6、诊疗过程:患者于入院当晚突发高热、伴寒战、畏寒,最高体温40℃,伴恶心、呕吐,立即予抗感染等治疗。经有效治疗后患者体温有所下降。 随后患者突发抽搐,仍伴寒战、畏寒、意识模糊,予地塞米松10mg静推,加用凡拉蒙2ml肌注,非那根20mg肌注,冬眠灵12.5mg肌注后,控制仍不佳。遂行床边穿刺、抽脓。术后症状有所缓解。术后继续抗感染,患者体温恢复正常,症状明显缓解,无其他不适,遂予出院。




