下载或打开 医联APP 查看完整评论
立即下载
打开APP
打开应用
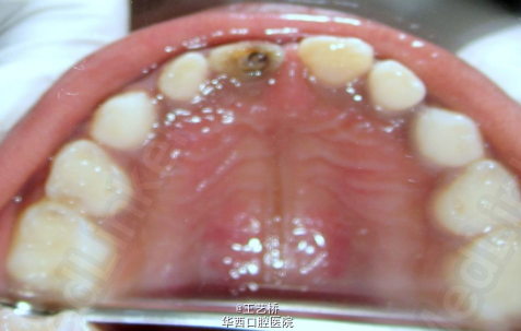
警惕孩子的不正常行为
王医师
四川大学华西口腔医院
主诉 病史
小朋友对周围的一切事物难免会充满好奇,但是一旦出现不正常行为,大家就要警惕了。以下两个案例都是由于小朋友的不正常行为所造成的。
发布于 14-12-23 22:03
医联推荐你看
警惕头CT正常的腔梗
宫颈病变、月经不正常
月经不正常、子宫内膜病变
共
0
个评论
暂无评论
发送
0