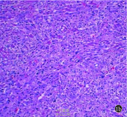
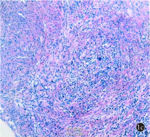
患儿,女,33 个月,因左前臂肿物 2 个 月 于 2011 年 7 月12 日来我院就诊。 患儿家属无意中发现患儿左前臂包块,花生粒大小,质硬,与周围组织分界清,无红肿及压痛。就诊于当地医院,考虑为肿大淋巴结,未予特殊治疗。 此后患儿家属自觉左前臂肿物略增大, 要求对左前臂肿物行手术切除。 查体见 :左 前 臂 上 1/ 3 背 侧 尺 骨 缘 触 及 软 组 织 肿 物 ,约 2.0 cm×1.0 cm×1.5cm 大小,位置表浅,质硬,边界清楚,活动度差,无压痛,局部皮肤无红肿,左腕关节及手指活动良好(图 1)。 彩超检查示左前臂指示部位距体表 2 mm 肌层外软组织内可见一实质性低回声光团,大小为 16 mm×6 mm×12 mm,边界清,似可见被膜,内部回声欠均匀,其内可见稀疏血流信号,提示:左前臂实质性结节,不除外肿大淋巴结。 实验室检查:尿素氮3.80 mmol/L,肌酐 57 μmol/L,尿蛋白阴性,尿酮体阴性,C-反应蛋白 1.20 mg/L,淋巴细胞百分比 0.69%,淋巴细胞绝对值4.39×109/L。 入院后完善术前检查,择期行左前臂软组织肿物切除术。 术中以左前臂外侧肿物为中心做长约 3 cm 纵形切口,切开皮肤、皮下、深筋膜层,即见肿瘤,完整剥离肿物,见肿 物包膜完整,与周围组织分界清楚、无粘连及浸润,肿物大小约 1.5 cm×1.0 cm×1.5 cm,术中注意无瘤化操作,距肿物边缘0.5~1.0 cm 处将肿物完整切除,见无肿物残留。 将肿物送检快速病理,术中快速病理示良性梭形细胞,伴炎性细胞浸润(图2)。 剩余组织送检常规病理,常规病理回报为梭形细胞丰富,伴有淋巴细胞、浆细胞等炎性细胞;病理诊断:左前臂炎症性肌纤维母细胞瘤(图 3)。 患儿家属要求行扩大切除术以防止复发,术中快速及术后常规病理报告切除组织未见肿瘤细胞。患儿术后恢复良好, 未给予免疫治疗及放化疗, 术后 1 周出院,术后随访 15 个月未见肿物复发或转移。 炎症性肌纤维母细胞瘤是一种临床上少见间叶性交界性肿瘤,由肌纤维母细胞及淋巴细胞、嗜酸性粒细胞等炎症细胞构成,性质为潜在恶性(或低度恶性)肿瘤,有复发倾向但较少发生转移。 该病的发病原因、机制尚不明确,多发生于儿童及青少年,常见于肺、肝脏、肠系膜、大网膜等部位,偶见于舌部、下颌、头颈、泌尿系统等,发生于软组织者少见。 炎症性肌纤维母细胞瘤呈缓慢性增长,通常无全身症状,实验室检查无明显异常,仅表现为局部肿块引起的相应的症状和体征,临床上无特异性表现,影像学及实验室检验诊断本病很困难, 其确诊主要依靠病理组织学诊断,分为3 种 组 织 学 类 型 :黏液型 、梭 形 细 胞 密 集 性 和 纤维型。本例患儿除左前臂可触及肿块外,无发热头痛等症状,检查及检验亦无特异改变,术前明确临床诊断较为困难,完整切除肿物并送病理检查可确诊。 本病应与恶性纤维组织细胞瘤、纤维瘤病、纤维肉瘤、平滑肌肉瘤等鉴别。特别是恶性纤维组织细胞瘤与本病很难鉴别, 有与 IMT的相似结构(梭形细胞及炎症细胞),但更多的是圆形组织细胞样细胞、泡沫细胞和巨细胞,核分裂像多见,异型性明显,有助于和本病鉴别。 本病和纤维瘤病也较难鉴别,其内可见较多肌纤维母细胞,在增生细胞之间有数量不等的胶原纤维构成,纤维多而弥漫,细胞成分少,常无明显炎性细胞,呈浸润性生长,结合临床特点和光镜所见有助于与本病鉴别。 本病良恶性仍有争论,但是早期行手术切除并送检病理、明确组织学类型既可确诊又可指导下一步治疗措施, 仍是目前治疗该病的首选方案。手术完整切除肿瘤,同时切除与之粘连的组织非常必要,目的是防止局部复发。 通过根治性手术切除,大多数病例能获得较好的疗效。本例患儿 33 个月,年龄较小且鉴于肿瘤发现早、病理未见恶性细胞、完整切除肿物后又行二次扩大切除等,未予以放疗和化疗。 IMT 的预后一般较好,仅少数有恶变倾向甚至远处转移。经手术切除都能治愈,但部分病例具有局部生长复发倾向,应随访观察。我科收治患儿给予定期随访,术后第 3、6、12 个月复查均未发现肿瘤复发或转移,远期效果尚待进一步随访观察。


