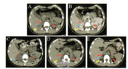
患者,男性,21岁,“生长发育提前5年,色素沉着伴性格渐变10年”。实验室检查:血皮质醇8:00为37.I o.g/L、16:00为27.9g/L、24:00为12.6斗g/L[正常参考范围67~226(8:00),下同],24 h尿皮质醇39.38斗∥24 h(21一111),ACTH 990.81pg/ml(12.00—78),血醛固酮430.76 p∥ml(38.1~313.3),血浆肾素活性8.5l ng·ml一·h。1(O.73,17.4),LH<0.07 IU/L(1.1—8.8),FSH 0.03 IU/L(0.9~12.0),孕酮9.39ng/ml(<0.1~0.2),睾酮4.61 rig/ml(1.66—8.11),硫酸脱氢表雄酮355.40¨s/dl(136.2~591.9),17一羟孕酮>50.00 ng/ml(0.5—2.4),雄烯二酮>10.00 rig/ml(0.30~2.63)。GnRH兴奋试验示LH、FSH均不能被激发。基因测序示该患者CYP21A2基因复合杂合改变($268T,Q318X)。精液分析:排精量0.6 ml(>2),pH 7.4(7.2~8.0),活动率26.14%(>60%),精子密度3.47x106/ml(≥20x106)。性腺B超示双侧睾丸约30 mmxl5 mmx20 mm,实质内皆可见大小不等实质不均质回声团块,左侧大者23 mmXl7 mm。右侧大者20 mmxl3mln,边界尚清,形态不规则,内可见散在沙粒样强回声点。结合病史考虑睾丸肾上腺残余肿瘤。肾上腺CT平扫+增强示双侧 。肾上腺明显结节状增粗,右侧肝肾隐窝处可见一占位,大小约2.5 cmxl.2 cm。CT定位下右侧肝肾隐窝病灶穿刺活检病理示肾上腺皮质增生。诊断明确后给予醋酸地塞米松0.75 mg每日一次口服。皮肤色素沉着较前减轻。体力、精神较前好转.性格逐渐开朗。血皮质醇0.14 Ixg/L, ACTHl4.84pg/ml,17一羟孕酮2.39 ng/ml,雄烯二酮0.87 ng/ml。睾丸B超示左右侧睾丸大小均约35 mmX 16 mmx27 mm,双侧睾丸实质内可见大小不等低回声,左侧大者16 mmx9 mm.右侧大者16 mmx8 mm:肾上腺CT平扫示双侧肾上腺增生较前明显减轻,肝肾隐窝病灶明显缩小.肾脏上移。精液分析:排精量0.6 ml,pH 7.7,精子活动率50.4%,精子密度50.4 X 106/ml。 讨论:H是一组因肾上腺皮质激素合成途径中酶缺陷引起的疾病,属常染色体隐性遗传病。21.羟化酶是肾上腺类固醇激素合成的关键酶之一,由CPY21A2编码,21一OHD与CYP21基因突变 有关,可使糖皮质激素和(或)盐皮质激素合成减少,引起前体物质17一羟孕酮和孕酮堆积,并向雄激素合成途径分流,导致雄烯二酮和T异常升高。同时,皮质醇的合成减少,将会引起ACTH反馈性升高。临床较常见的为女性男性化,需要结合基因筛查以明确诊断。常有家族史。此类患者由于长期高水平ACTH,使肾上腺易发生腺瘤样增生。因此,,治疗的过程中需根据血皮质醇、ACTH、17-羟孕酮的变化调整剂量,其中血浆ACTH水平恢复正常是说明激素替代治疗合适的最重要的实验 室指标。对于CAH合并l肾上腺肿块患者,需行穿刺病理活检明确肿块性质,更加要避免因为肿大的肾上腺而进行没有必要的手术。


