下载或打开 医联APP 查看完整评论
立即下载
打开APP
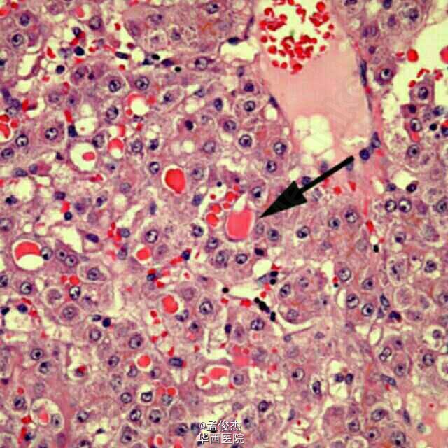
患儿在29周因母亲高血压剖宫产出生,阿普加评分出生后一分钟8,生后5分钟为9,生后迅速出现呼吸衰竭,需要机械通气。生后第4天,患儿出现肌张力减退和脑病。生后第6天,患儿脑干反射消失,血氨值为4100 mcg/dL,头部超声显示2度颅内出血,使用降血氨的药物后,血氨仍旧升高到7500 mcg/dl。患儿出现肾脏衰竭,凝血障碍,肌张力减退,反复酸中毒和昏迷,在生后第7天死亡。死后血液检查发现血液中瓜氨酸明显降低,谷氨酰胺,丙氨酸,甘氨酸,赖氨酸明显升高。病理检查发现脑中有阿尔兹海默II 型星形胶质细胞分布。肝细胞气球样变性。基因检测发现Xp11.4-p21.1有缺失,诊断为鸟氨酸转氨甲酰酶缺乏。鸟氨酸氨甲酰基转移酶(Ornithinetranscarbamylase,OTC)为尿素循环过程中第二个酶,鸟氨酸和氨甲酰基磷酸在OTC的作用下生成瓜氨酸,在此反应过程中由于OTC缺乏而引起的先天性代谢性疾病。OTC缺乏的结果使氨甲酰基磷酸的代谢受到抑制,从而尿中乳清酸大量的增加,尿苷和尿嘧啶等也可以在尿中被检出。 该病为X性染色体性连锁遗传。 临床表现主要为食欲低下、呕吐、意识障碍和痉挛等不同症状。男性患者一般是在新生儿期或者是乳儿早期发病.但是也有幼儿期以及成人期发病的病例报道,女性患儿临床症状表现轻重不同。


