下载或打开 医联APP 查看完整评论
立即下载
打开APP
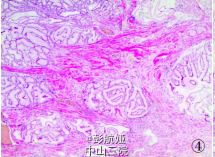
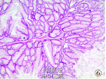
患者女童,14 岁。因腹痛、停止排气排便2天入院。2天前患者无诱因出现腹部隐痛,阵发性加剧,肛门无排气排便。无发热、恶心、呕吐、里急后重、便血等症状。CT 示左侧结肠扩张,考虑肠套叠。查体:体温36.6℃,心率125次/分,呼吸 32次/分。发育正常,营养中等,神志清楚,皮肤无黄染,唇呈暗紫色,口唇周围及双眼周围均可见斑点状暗褐色色素沉着,色素斑不高出皮肤(图 1)。腹部柔软,中腹部轻压痛,无肌紧张,左下腹可触及直径 4cm 的包块,肝脾肋下未触及。肠鸣音活跃,6-7次/分,可闻及气过水声及金属音。双手掌及手背均可见散在的色素沉着点,数量较口周及眼周少(图2)。家族史:其父亲口唇、口腔黏膜及双手掌有类似斑点。曾有腹痛、腹泻史,均以慢性肠炎治疗。患者弟弟口唇周围也可见色素沉着,姐弟均未行胃肠道检查。摇 摇 胃镜及肠镜检查:胃、结直肠见多枚息肉样肿瘤,表面呈分叶状、桑葚状或结节状。多数有蒂,少数有亚蒂。剖腹探查:术中见胃、小肠、大肠有多枚大小不一的息肉。胃窦部息肉直径4cm,带蒂,嵌顿于幽门环以下。空肠、回肠见息肉3枚,直径2-4cm,带蒂,其中1枚嵌顿于小肠,形成肠套叠。回盲部游离至左下腹,回肠末端套入盲肠约 10cm,致盲肠狭窄、梗阻,套叠近端小肠积气扩张,肠壁充血水肿,肠蠕动活跃,肠系膜及其血管血运良好。降结肠息肉1枚,直径2cm,未见腹腔淋巴结肿大,余无异常。遂行胃窦、小肠、结肠息肉切除术和肠套叠复位、固定术,息肉切除后送病理检查。








