下载或打开 医联APP 查看完整评论
立即下载
打开APP
主诉:头晕心悸三天入院 现病史:女性,50岁,因阵发性高血压、头晕心悸入院,既往无异常.入院
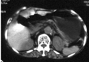
入院查体: 血压18/13kPa,神经系统(—).测血清微量元素均在正常范围,血皮质醇、醛固酮和24h尿VMA均正常.术前CT 诊断:左肾上腺肿瘤,腺瘤可能性大术中见左肾上腺结构正常, 未见占位性病变,紧贴左肾上腺可见一大小约1cm×1.5cm实性物质,呈暗红色,行肿物切除术术后病理:副脾。


诊断:考虑左肾上腺肿瘤,腺瘤可能性大 治疗:术中见左肾上腺结构正常, 未见占位性病变,紧贴左肾上腺可见一大小约1cm×1.5cm实性物质,呈暗红色,行肿物切除术术后病理:副脾。
随访:未完成 讨论:在脾的附近,尤其是在胃脾韧带内和大网膜内,有时会发现一些具有被膜的小结节状脾组织,它们或为单个,或以细条状脾组织与脾相连,这就是副脾。副脾的数量有时可能相当多, 而且可能会在腹腔内呈弥散分布。当副脾与肾上腺位置贴近时,易被误诊为肾上腺肿物,尤其当患者临床有高血压症状时,更会想到腺瘤的可能。但本例患者没有低血钾及周期性麻痹症状,是与腺瘤诊断不相符的,应诊断为原发性高血压。由于这种情况极少见,一般不会想到是副脾。可疑时应行增强扫描,若发现结节与脾脏同时强化,则有助于副脾的判断。另外,若为副脾时同侧肾上腺应为正常形态,而为腺瘤时残余肾上腺常有萎缩改变。