下载或打开 医联APP 查看完整评论
立即下载
打开APP
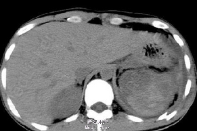
中年男患,于2+天前从高处坠下,全身多处受伤,曾于创伤抢救室就诊,行ct检查提示:颅内出血,肋骨骨折,肺挫伤等,转入某医院治疗,诊断“ 高坠伤,多发伤,颅内出血,肋骨骨折,肺挫伤,鼻骨骨折,上颌骨,右侧眼眶外侧骨折“。半天前出现腹痛,予以腹腔穿刺抽出不凝血,转入我科。下病危,血常规,全腹部ct。 查体:患者神志清醒,头面部肿胀,双眼睑淤紫,瞳孔等大等圆,左瞳直径3MM,右瞳直径3MM,双瞳对光反射灵敏,呼吸道通畅,胸廓正常,胸廓挤压征(+),呼吸正常,已安置闭式引流,双侧肺呼吸音对称,双肺未闻及干湿音,腹部无开放性创伤,全腹无压痛,无反跳痛,四肢无开放性创伤。骨盆无开放性创伤,骨盆挤压征(-),脊柱无叩压痛,耳鼻喉正常,颈部正常,背部无开放性创伤,无其它特殊情况。
