打开应用

卵巢肿物

方医师   黄山市徽州区妇幼保健计划生育服务中心
卵巢肿物

主诉 病史

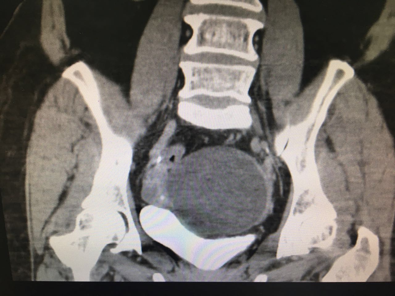
1、 患者女性,58岁  2、 主诉:发现盆腔肿物3月余;  3、 现病史:3-0-0-3,绝经2年。患者2015年体检未见明显异常,3月前体检时发现下腹部有一包块,无腹胀腹痛,无阴道出血,无阴道流液,无尿频尿急。查【妇科超声】示:左附件囊肿,卵巢囊腺瘤可能(子宫后上方无回声区116*94*110,形态规则,边界清晰,内壁光滑,后方回声增强,内见回声隔分隔成两房,隔上未见明显血流信号),【TCT】未见上皮内病变细胞或恶性细胞,肿瘤标志物检查未见异常。后行阴道镜检查示:宫颈转化区II型,宫颈活检病理报告:宫颈3、6、9、12点为黏膜慢性炎。现患者为求进一步诊治,门诊拟“左附件囊肿”收治入院。 自发病以来,患者精神可,一般情况可,睡眠可,胃纳可,二便基本正常。

查体 辅查

4、妇科体检: 外阴(-);阴道畅;宫颈光,局部宫颈活检后改变;宫体:前位,偏向左侧,萎缩,表面光滑,活动可;子宫左上方可及囊性肿块直径8cm左右,质软,活动尚可,无压痛,右附件区未及明显异常。  5、辅助检查: 生化、血常规、阴道分泌物、内分泌检查未见异常 【TCT】:未见上皮内病变细胞或恶性细胞

诊断 处理

6、诊断:盆腔肿物(左附件囊肿,卵巢囊腺瘤可能) 7、诊疗方案入院后完善相关检查,行腹腔镜下子宫全切除术+双侧附件切除,术中盆腔内一巨大囊性肿块约12*10*10cm,囊壁光滑,活动好,无粘连,手术顺利。术后给予抗炎补液治疗。现患者生命体征平稳, 一般情况可,肠道功能恢复良好,体温正常,准予出院。

随访 讨论

注意营养与休息,禁盆浴及性生活3个月,定期门诊随访。

发布于 17-12-16 23:02

6 个评论

发送