下载或打开 医联APP 查看完整评论
立即下载
打开APP
患者女性,54岁,因发现盆腔巨大包块半月余入院。半月前患者外院体检行B超提示腹部积水,遂至我院就诊。患者已绝经5年,有高血压病史5年,自诉血压控制可。
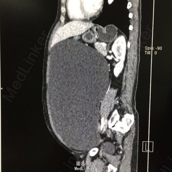
查体:腹部膨隆,可扪及一巨大包块,上至剑突,下达盆腔,双附件区触诊不满意。 辅查:我院腹部CT:盆腹腔可见一巨大囊性水样密度包块,大小约27.1×12.8cm,内未见分隔及壁结节影,考虑为右侧附件来源,囊腺瘤可能;子宫前壁肌瘤可能。



入院诊断:盆腔包块、子宫肌瘤。入院后完善相关检查后,行双附件切除术+子宫肌瘤剔除术,术中见约30×30×25cm大小的囊性包块,来源于右侧卵巢,在囊肿表面做一小切口,吸出淡黄色囊液约3000ml。术后病理示:卵巢浆液性囊腺瘤。
卵巢浆液性囊腺瘤多为单侧,增大时有压迫症状,伴有感染或者蒂扭转可有急性腹痛,治疗以手术为主。