下载或打开 医联APP 查看完整评论
立即下载
打开APP
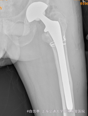
左侧髋关节置换术后疼痛2年余 患者因左侧髋关节疼痛2001年于我院全麻下行左侧髋关节置换术,手术顺利,出院后患者觉左髋关节疼痛肿胀,活动时明显,局部皮温升高,无寒战。患者近两年来左髋关节疼痛、活动受限加重,见既往手术切口,愈合良好,无裂口,无脓性分泌物流出,患者为求进一步治疗,门诊拟“左髋关节置换术后疼痛”收治入院。 患者自发病以来,神清精神可,胃纳睡眠可,二便无殊,体重无明显变化。
查体:神清,精神可,左侧髋部未见红肿,皮温高,屈曲稍受限,双下肢血运感觉可。 辅查:左侧x片提示

诊断:髋关节假体松动 治疗:左侧髋关节翻修术

随访:患者2周后手术切口月愈合好。6周后髋关节活动度好。 讨论:髋关节翻修的量随着初次THA大量增加而不断增加。当对翻修的了解程度深入后对初次THA也有很大的帮助。