患者女,31岁。因躯干、四肢红色斑丘疹、鳞屑,瘙痒3 d就诊。患者1个月前因唇部红肿、分泌物1月余就诊于当地医院,诊断为“唇炎”,予维生素c、维生素B2口服及红霉素乳膏外用后症状无缓解,为进一步诊治于8 d前就诊于我科门诊,诊断为“慢性唇炎”,予口服沙利度胺50 mg,每日2次及依巴斯汀、复合维生素B治疗,连续治疗5d后唇部红肿稍好转。3 d前患者胸、背部及双手足出现散在红色斑、丘疹,伴明显瘙痒,皮疹面积渐扩大,躯干及四肢泛发大量红色斑、丘疹,表面覆少量鳞屑,为诊治再次就诊于我科。患者已婚育。既往史、个人史及家族史无特殊。
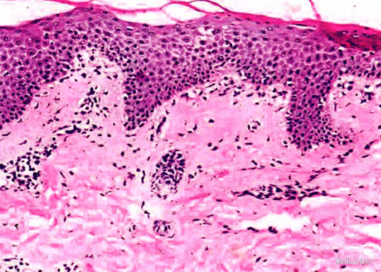
体格检查:生命体征平稳,系统查体未见明显异常。皮肤科检查:躯干及四肢泛发大量粟米至绿豆大红色斑、丘疹,界清,表面覆少许细小鳞屑,点状出血现象阴性。皮损组织病理检查:表皮轻度角化过度伴灶性角化不全,棘层局部海绵形成;真皮浅层血管周围少许慢性炎性细胞浸润。实验室及辅助检查:血、尿常规,肝、肾功能,总免疫球蛋白(Ig)E均无明显异常.梅毒特异性抗体、梅毒反应素试验阴性。


诊断为药疹,嘱其停用沙利度胺,予口服泼尼松30 mg,每日1次,联合雷公藤多苷20 mg,每日3次治疗.皮疹好转后药物逐渐减量,治疗4周后皮疹基本消退。目前已随访8周,皮疹未复发。
本例患者起病较急,起病前有特殊服药史,皮损表现为泛发的点滴状斑丘疹、表面覆少量鳞屑,自觉明显瘙痒,组织病理表现无特异性,综合以上特点,诊断为药疹.需与慢性苔藓样糠疹、急性痘疮样苔藓样糠疹、急性湿疹及银屑病鉴别。沙利度胺在血液科被广泛用于治疗骨髓瘤.目前正被研究应用于其他恶性肿瘤。在皮肤科主要用于治疗麻风及一些较顽固的疾病如血管炎、嗜酸性粒细胞增多综合征等。亦有随机、对照临床试验证明沙利度胺对中毒性表皮坏死松解症(TEN)有一定疗效IS],但沙利度胺偶尔却可诱发药疹。不知各位临床上有没有见过类似病例,皮损特点有无不同?比如引起痤疮、水泡样、荨麻疹样的药疹?文章编号:000—4963(2014)12—0727-02。