下载或打开 医联APP 查看完整评论
立即下载
打开APP
患者女,31岁。因躯干、四肢红色斑丘疹、鳞屑,瘙痒3 d就诊。患者1个月前 因唇部红肿、分泌物1个月余就诊于当地医院,诊断为“唇炎”,予El服沙利度胺50 mg,每日2次及依巴斯汀、复合维生素B治疗,连续治疗5d后唇部红肿稍好转。既往史、个人史及家族史无特殊。
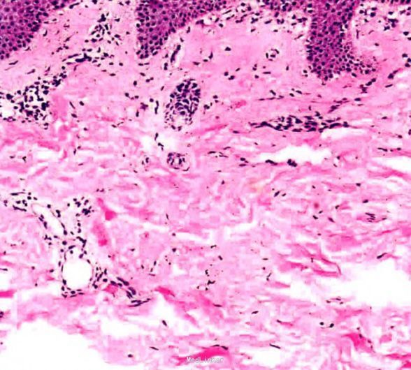
皮肤科检查:躯干及四肢泛发大量粟米至绿豆大红色斑、丘疹,界清,表面覆少许细小鳞屑,点状出血现象阴性。皮损组织病理检查:表皮轻度角化过度伴灶性角化不全,棘层局部海绵形成;真皮浅层血管周围少许慢性炎性细胞浸润。


诊断:药疹。嘱其停用沙利度胺,予口服泼尼松30 mg,每日1次,联合雷公藤多苷20 mg,每日3次治疗.皮疹好转后药物逐渐减量,治疗4周后皮疹基本消退。
目前已随访8周,皮疹未复发。沙利度胺在血液科被广泛用于治疗骨髓瘤.目前正被研究应用于其他恶性肿瘤。在皮肤科主要用于治疗麻风及一些较顽固的疾病如血管炎、嗜酸性粒细胞增多综合征等。沙利度胺不良反应的发生率与剂量和疗程有关,通常血液病专家认为剂量<200 mg/d可耐受,且服用沙利度胺的患者应尽量避免联合应用易引起严重皮肤不良反应的药物如磺胺甲嗯唑及别嘌醇。