下载或打开 医联APP 查看完整评论
立即下载
打开APP
打开应用
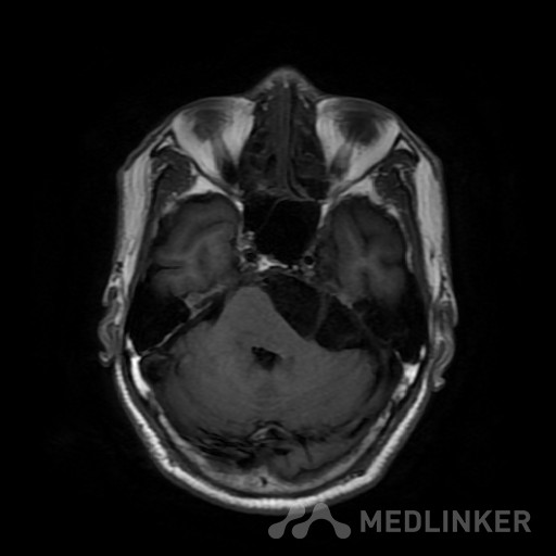
桥小脑区长T1长T2囊状病灶(如图),考虑表皮样囊肿还是蛛网膜囊
徐医师
中山大学附属第三医院
皮样囊肿
蛛网膜囊肿
表皮样囊肿
如图所示,左侧桥小脑区的囊状长T1长T2异常信号,增强扫描未见强化。考虑表皮样囊肿还是蛛网膜囊肿?
发布于 16-07-13 15:25
打开医联APP阅读全文
医联推荐你看
桥小脑区看到一个水样信号影?是蛛网膜囊肿还是表皮样囊肿?
考虑表皮样囊肿?
颞极蛛网膜囊肿
共
4
个评论
查看更多评论
发送
0