下载或打开 医联APP 查看完整评论
立即下载
打开APP
打开应用
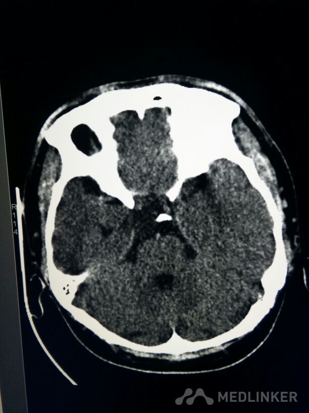
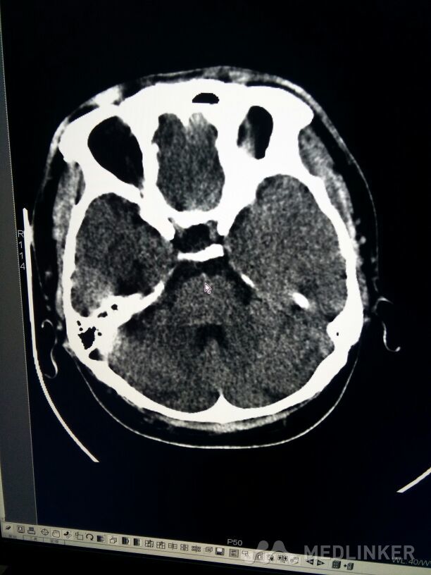
考虑表皮样囊肿?
魏医师
河北省荣军医院
放射科检查
发布于 18-04-10 08:55
打开医联APP阅读全文
医联推荐你看
表皮样囊肿
表皮样囊肿和皮样囊肿的影像学特点有哪些区别?
表皮样囊肿与皮样囊肿是一回事吗?
共
0
个评论
暂无评论
发送
0