下载或打开 医联APP 查看完整评论
立即下载
打开APP
打开应用
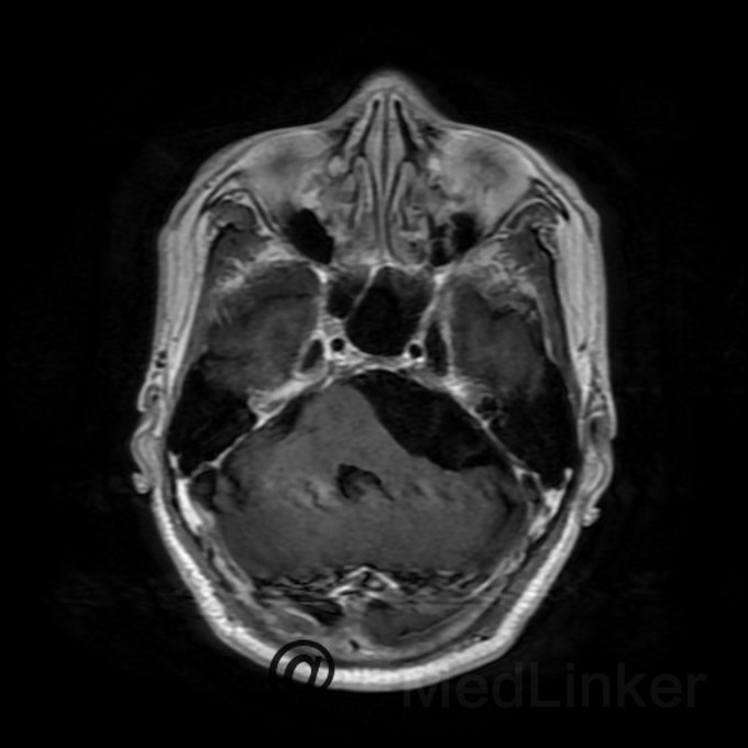
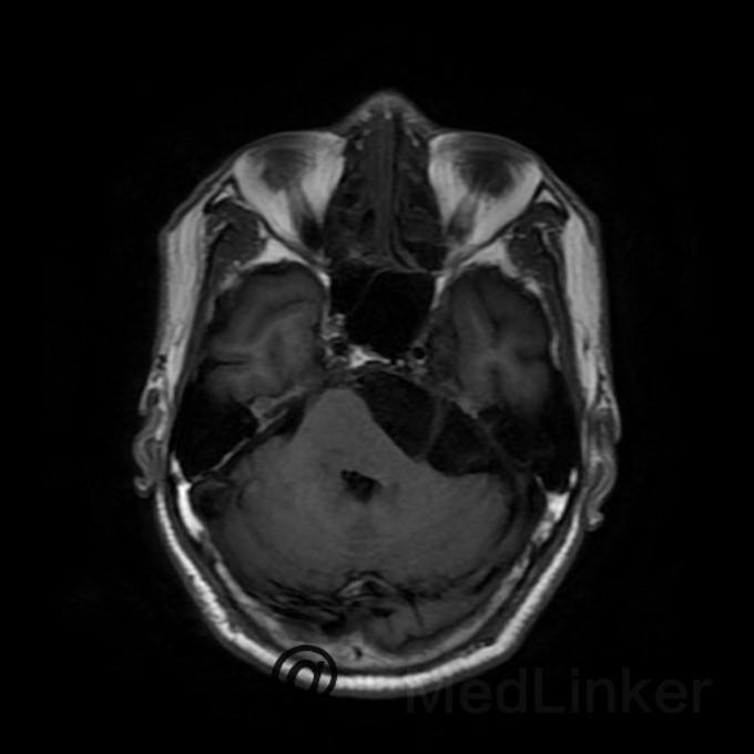
桥小脑区看到一个水样信号影?是蛛网膜囊肿还是表皮样囊肿?
张医师
中山大学附属第三医院
皮样囊肿
蛛网膜囊肿
表皮样囊肿
蛛网膜囊肿还是表皮样囊肿都是囊肿,都是T1呈低信号,T2呈高信号,增强都木有强化,两者要怎么鉴别?求赐教
发布于 15-10-19 23:41
打开医联APP阅读全文
医联推荐你看
桥小脑区长T1长T2囊状病灶(如图),考虑表皮样囊肿还是蛛网膜囊
表皮样囊肿与皮样囊肿是一回事吗?
颞极蛛网膜囊肿
共
2
个评论
查看更多评论
发送
0