打开应用

腹腔镜保脾胰体尾切除治疗胰腺囊性肿瘤

孙医师   中国医科大学附属盛京医院
胰腺囊腺癌 胰腺肿瘤 胰腺粘液性囊腺瘤

主诉 病史

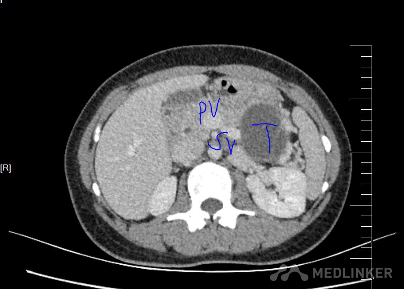
发现胰体尾肿物4个月余 患者4个月前感觉左上腹有包块,行腹部平扫CT示:胰尾区囊性病变,无腹痛,偶有腹胀,无反酸嗳气,无胸闷气短等不适。现为进一步诊治来我科,以“胰腺肿物”收入院,现患者饮食、睡眠尚可,小便正常,近期体重无明显变化。

查体 辅查

腹部平坦,腹部可见剖宫产手术瘢痕,无腹壁静脉曲张,未见胃肠型及蠕动波,全腹触之软,左上腹有压痛,无反跳痛及肌紧张,肝脾肋下未触及,胆囊未触及,双肾区无压痛,Murphy's征阴性,移动性浊音阴性,肠鸣音4次/分,双下肢无水肿,四肢活动自如,生理反射存在,病理反射未引出。

诊断 处理

诊断 胰腺囊性肿瘤 囊腺瘤可能性大,术后病理 粘液性囊腺瘤 治疗 全麻下腹腔镜保脾胰体尾切除

随访 讨论

术后恢复顺利,没有出现胰瘘。 胰腺粘液性囊腺瘤由于可能恶变,应该早期手术治疗,传统方式一般开腹手术,由于胰体尾与脾脏灌洗密切,经常需要联合脾脏切除。而脾脏除了具有免疫功能,还有滤血,毁血,储血等功能,故保留脾脏对于患者来讲意义肿大。腹腔镜手术由于独特视角以及放大作用,可以做到保脾胰体尾手术,术中尽量保留脾血管(Kimura手术),如果各种原因,脾血管无法保留,此时仍然可以尝试保脾(Warshaw手术),这时脾脏通过胃血管供血,术后功能良好。

发布于 19-06-27 10:38

2 个评论

发送