打开应用

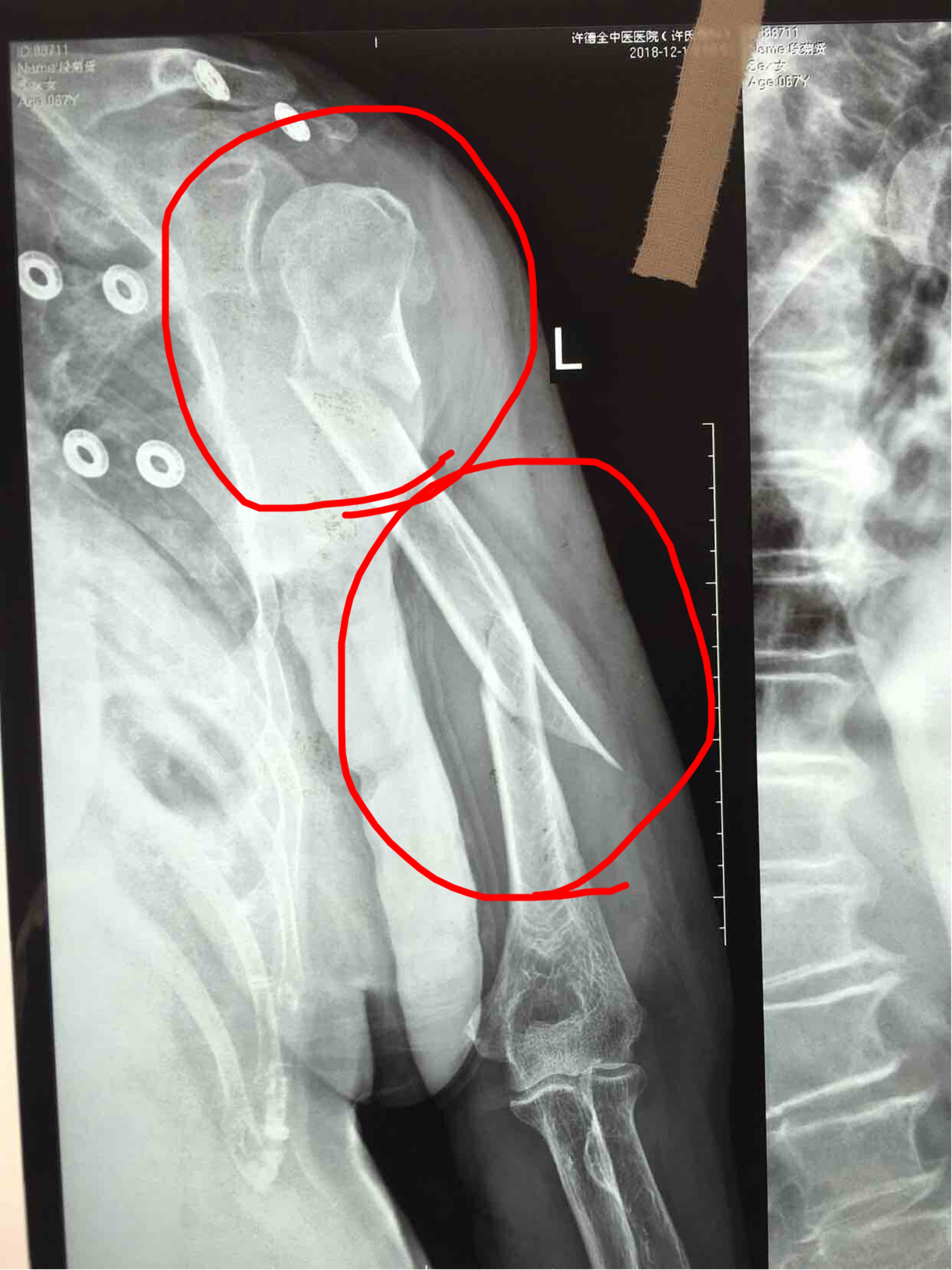
肱骨外科颈粉碎性骨折并肱骨干骨折(切复内固定术)

高医师   许德全中医医院
骨折 肱骨干骨折

主诉 病史

摔伤后左上肢肿痛,畸形,活动受限2小时入院。既往身体健康。无特殊不良嗜好。

查体 辅查

心肺腹未见异常,生命体征平稳。左上肢肿胀明显,畸形,局部皮色皮温基本正常,压痛及纵叩痛阳性,异常活动,末梢血运感觉正常。

诊断 处理

诊断:1.肱骨外科颈粉碎性骨折        2.肱骨干骨折完善术前准备,在臂丛麻醉下行切复内固定术,近端选择解剖型锁定钛板,干部选择普通加压钛板,术中注意充分止血,保护尺神经,固定顺序先外科颈后干部。

随访 讨论

术中外科颈粉碎成四部分骨折,只做了立线及颈干交的复位,保证功能复位。还有不足之处望各位老师指正!谢谢!

发布于 19-01-20 18:10

3 个评论

发送